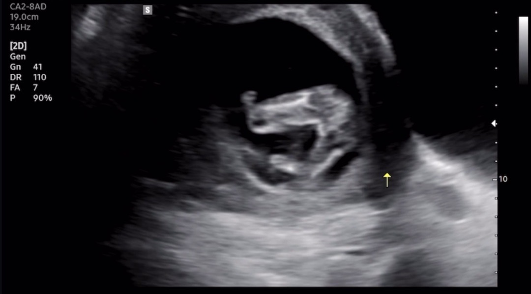
애매 하네요 저는 14주차에는 완전 매끈하게 들어가있었는데 살짝 둥근거 같아서요 저대로 16주에 들어가면 딸이고 나오면 아들일거같아요 ㅋㅋㅋㅋ🤣
다리사이 초음파..! 어떤것 같나요?

14주차2일인데 어때보이나요?!투표해주세용..! 반전있을까요?
Comment
1
🔥 Top BFF Posts Right Now

Download Baby Billy app and check out the various concerns and tips written by other parents

