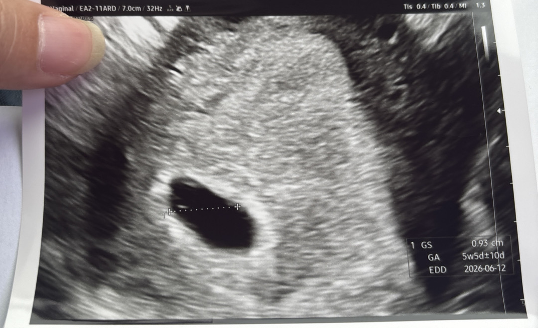
아기집 왼쪽에 점선 바로 위에있는 참깨말하시는거 아닐까요오~?
아기집 궁금

난황이 참깨만하게 보이신다고 하는데 저는 안보여요ㅠ 보이신가여..?
Comment
2

저렇게작은게 정상일까요??
🔥 Top BFF Posts Right Now

Download Baby Billy app and check out the various concerns and tips written by other parents

In Baby Billy app
More Billy club posts!

In Baby Billy app More Billy club posts!
아기집 궁금

난황이 참깨만하게 보이신다고 하는데 저는 안보여요ㅠ 보이신가여..?
Comment
2
아기집 왼쪽에 점선 바로 위에있는 참깨말하시는거 아닐까요오~?
저렇게작은게 정상일까요??
🔥 Top BFF Posts Right Now

Download Baby Billy app and check out the various concerns and tips written by other parents
Village Baby Co., Ltd
4F, 83 Uisadang-daero, Yeongdeungpo-gu, Seoul, Republic of Korea
Inquiries about alliances and partnerships babybilly.global@villagebaby.kr
|
|
Language
Copyright Baby Billy. All rights reserved.
Village Baby Co., Ltd
4F, 83 Uisadang-daero, Yeongdeungpo-gu, Seoul, Republic of Korea
Inquiries about alliances and partnerships babybilly.global@villagebaby.kr
Language
Copyright Baby Billy. All rights reserved.