6주2일차 저도 오늘 초음파 보고 왔는데 0.3cm였고 별다른 이야기는 안하셨어요! 심박수는 원장님이 따로 말해쥬나요?? 저는 아무말 안하시던데..
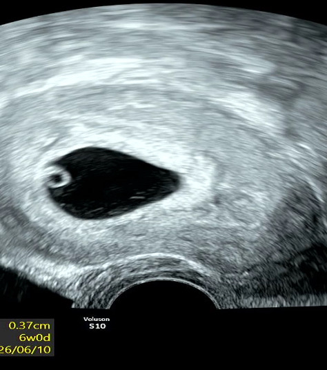
6주0일차 초음파

0.37cm이고, 심박수가 104인데 ㅠㅠ 생각보다 느리게뛴다고 다음주에 다시 진료예약잡았습니다 별일없겠죠 ㅜㅜ.. 심장박동소리들었는데도 기쁘지않고 걱정스러워요 하필 감기도걸려서 앓아누워있어요 ㅠㅠ 다들 감기조심하세요 넘 아프네요 흑흑
Comment
4

네 심박수가 기대했던것보다 낮다고 말해주시더라구요 ㅠㅠ..그래서 걱정돼요 차라리 말안하셨으면 그런가보다할텐데
저랑 비슷하신거 같아요! 저도 감기때문에 앓다가 겨우 회복중인데, 오늘 6주 0일차 초음파 보고 왔더니 아기가 2mm라고 하더라구요 저희도 심박수 느렸는데 별 말씀 없으셨어요! 아마 피고임 없으면 건강히 잘 자라고 있을테니 좋은 것만 생각해요 🫶

감사합니다 ㅠㅠ감기걸렸는데 약도못먹는게 정말힘들더라구요 ㅎㅎ 빨리 일주일지나서 병원가보고싶네용! ㅠ
🔥 Top BFF Posts Right Now

Download Baby Billy app and check out the various concerns and tips written by other parents

