ㅎㅎㅎㅎㅎ 귀여워요 아들맘 반가워요옹
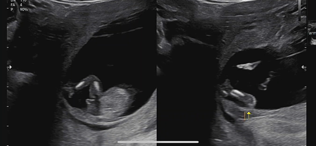
니프티보다 빨랐던 12주차 초음파 성별ㅋㅋ

보통 16주 지나서 안전하게 20주에 성별 확실해진다구 하잖아여… 저는 12주차에 정기검진갔다가 그냥 빼박100% 라고 알려주셨어여 ㅎㅎ 처음엔 왜이리 확신하시지 싶었는데 동영상 돌려보니… 이렇게 확실해도 되나 싶네여ㅋㅋㅋ 애기가 가릴 생각이 없다구 의사쌤이 그러시더라구여ㅋㅋㅋ 니프티보다도 빠른 결과였답니당…:)
Comment
2
앜ㅋㅋ 신기하네요
🔥 Top BFF Posts Right Now

Download Baby Billy app and check out the various concerns and tips written by other parents

