안녕하세요 엄빠님! 베이비빌리입니다. 각도법이 궁금하신 엄빠님께만 알려드려요🙋🏻♀️🙋🏻♂️ 각도법에 관심 있는 엄빠들이 모여있는 게시글에서 의견을 나누어보면 어떨까요?👼🏻 또, 빌리AI로 각도법을 검사하는 미니 테스트 서비스도 오픈 되었다는 깜짝 소식이 두두등장! 지금 바로 각도법으로 울 아기 성별을 추측해보세요😍 👉🏻 지금 바로 성별 질문 남기기 https://app.babybilly.app/rcofna ⭐빌리AI로 각도법 검사하는 미니 테스트 서비스 오픈! https://gender-test.babybilly.co/ 한 번 무료로 검사해보시고 결과가 잘 맞는지 빌리에게도 알려주시기로, 약-똑!😍
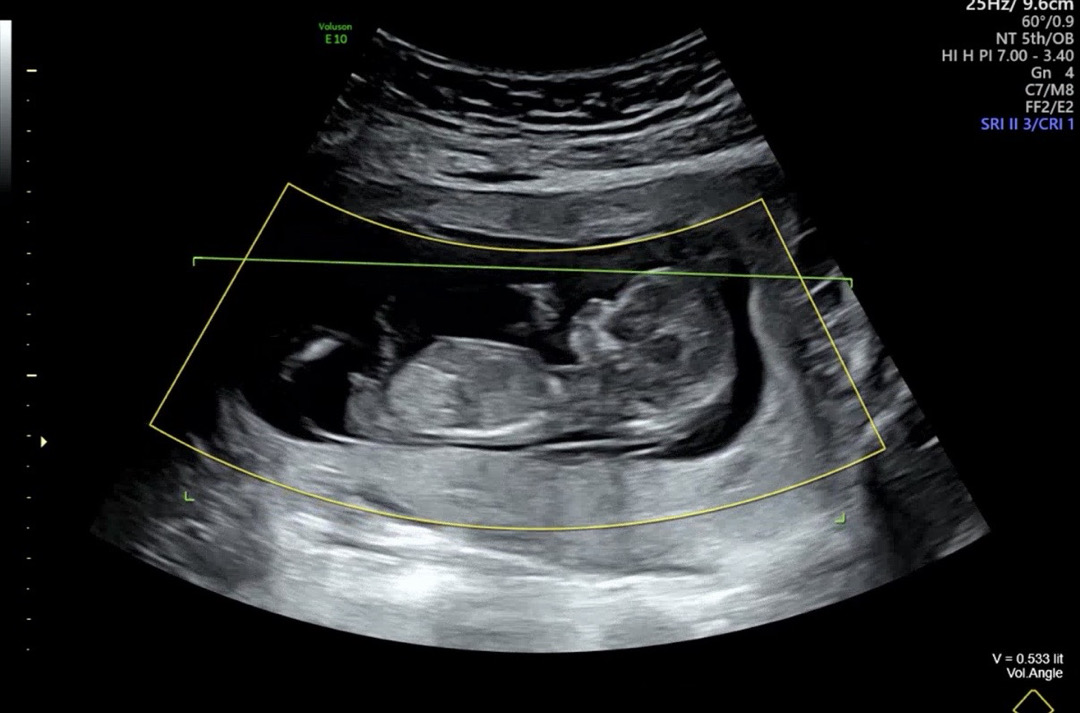
12주2일 각도법좀 봐주세요~~

둘째라 그런가 더 궁금하네요 !! 고수님들 한번 봐주세요!
Comment
2
딸같아용 근데 첫찌는 아들이세요? 저는 각도법으로 보는데 저희둘찌는 왜케 아들같죠?ㅋㅋㅋㅋㅋ첫찌랑 비슷한느낌ㅠㅠ
🔥 Top BFF Posts Right Now

Download Baby Billy app and check out the various concerns and tips written by other parents

