안녕하세요 엄빠님! 베이비빌리입니다. 각도법이 궁금하신 엄빠님께만 알려드려요🙋🏻♀️🙋🏻♂️ 각도법에 관심 있는 엄빠들이 모여있는 게시글에서 의견을 나누어보면 어떨까요?👼🏻 또, 빌리AI로 각도법을 검사하는 미니 테스트 서비스도 오픈 되었다는 깜짝 소식이 두두등장! 지금 바로 각도법으로 울 아기 성별을 추측해보세요😍 👉🏻 지금 바로 성별 질문 남기기 https://app.babybilly.app/rcofna ⭐빌리AI로 각도법 검사하는 미니 테스트 서비스 오픈! https://gender-test.babybilly.co/ 한 번 무료로 검사해보시고 결과가 잘 맞는지 빌리에게도 알려주시기로, 약-똑!😍
성별 확인좀 같이 해주세요!!!

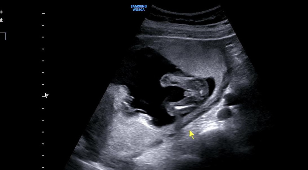
하 .. 암만봐도 🌶️인 것 같죠..? 의사쌤은 확실히는 모르겠지만 거의 아들인 것 같다고 하시기는 했거듴요.. 베동님들이 봐도 아들인 것 같나유 ㅠ
Comment
1
🔥 Top BFF Posts Right Now

Download Baby Billy app and check out the various concerns and tips written by other parents

