저도 오늘 8주2일 심박172 신장1.8이요 ^^ 젤리곰 등장에 팔다리 보이니까 이제좀 사람같다 싶어요 ㅋㅋㅌㅋ
8주4일 초음파 봤어요~

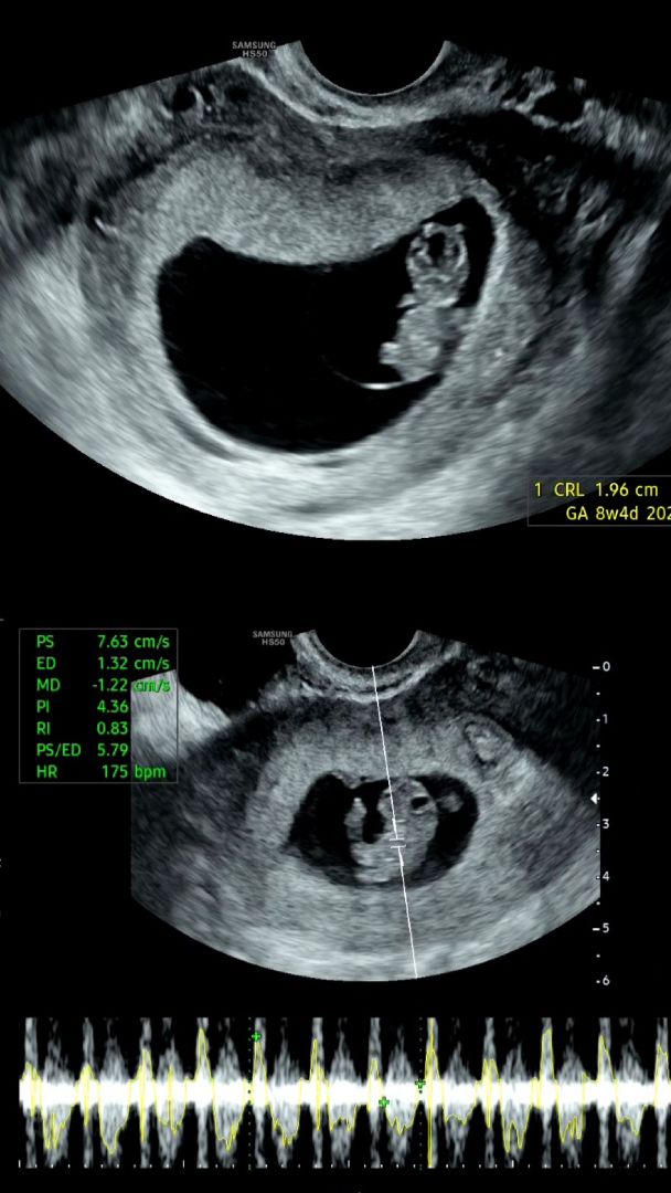
8주차에 초음파 보신분들~ 아이 크기나 심장박동수 공유 가능하실까요~ 벌써 젤리곰이라니ㅠㅠ 심박수 175에 1.96cm정도면 잘크는걸까요?
Comment
6
예정일 6/8로 8주차 3일 1.96cm 180bpm이에요!
1.43cm 7주차 5일때네용! 170-180 bpm이용 ㅎㅎㅎ
저 심소180 이에여 글고 서브병원갓더니 아기크기제대로안재줘서 7주차보다 줄게나왓어여 ㅋㅋㅋ

아구~ 180이면 너무 건강하고 튼튼하네요~♡크기는 2.5만 안넘으면 1센치 중후반때는 대부분은 정상인가봐요!ㅎㅎ

Deleted account
제 아가요! ㅋㅋㅋㅋㅋ

어머ㅋㅋㅋㅋ아휴귀여워라♡♡아기거북이같아요ㅎㅎ
🔥 Top BFF Posts Right Now

Download Baby Billy app and check out the various concerns and tips written by other parents

