안녕하세요 엄빠님! 베이비빌리입니다. 각도법이 궁금하신 엄빠님께만 알려드려요🙋🏻♀️🙋🏻♂️ 각도법에 관심 있는 엄빠들이 모여있는 게시글에서 의견을 나누어보면 어떨까요?👼🏻 또, 빌리AI로 각도법을 검사하는 미니 테스트 서비스도 오픈 되었다는 깜짝 소식이 두두등장! 지금 바로 각도법으로 울 아기 성별을 추측해보세요😍 👉🏻 지금 바로 성별 질문 남기기 https://app.babybilly.app/rcofna ⭐빌리AI로 각도법 검사하는 미니 테스트 서비스 오픈! https://gender-test.babybilly.co/ 한 번 무료로 검사해보시고 결과가 잘 맞는지 빌리에게도 알려주시기로, 약-똑!😍
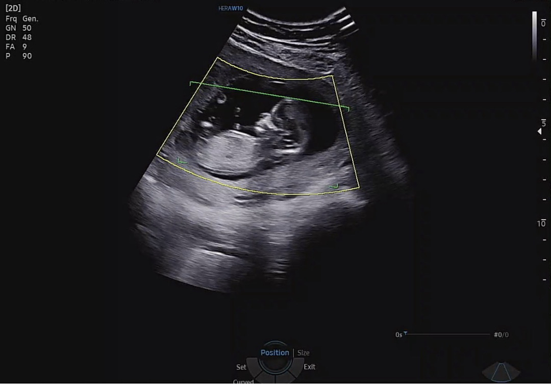
12주차 성별 예측 부탁드려요!!

12주차 초음파 사진인데 명확하진 않은것 같지만 부탁드려요!
Comment
1
🔥 Top BFF Posts Right Now

Download Baby Billy app and check out the various concerns and tips written by other parents

