꺅 넘 귀여워요..💖
9주차 젤리곰 보고왔어요~~

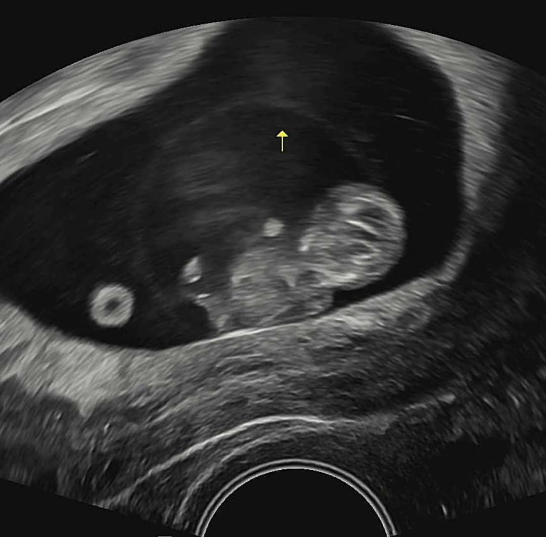
9주2일차 젤리곰 보고 왔어용🧸 꿈틀꿈틀 꼬물꼬물 거리는데 너무 귀엽더라구여!! 입덧이 딱히 없어 증상이 없으니 애기가 잘 있나 걱정했는데 아주 무럭무럭 자랐네요>,< ㅎㅎㅎㅎ 다음 1차 기형아검사때까지 잘 자라길🍀🍀
Comment
5
귀여운 젤리곰 쪼고미하니 너무 귀엽고 부럽네요. 건강하게만 자라다오~~ 저도 이번주 토요일(8주 6일차)에 정기검진이 있어요! 제발 건강한 젤리곰 보고 올 수 있기를...
너무귀여워요!!! 저도 입덧이 아예없어요ㅠㅠ증상은 9주차때까지 아예 없으신건가요?!!

가슴아프고 배 콕콕 아프고 그런 증상은 있지만 입덧 관련은 딱히 없어여,, 앞으로 생길지는 모르겠지만🥹 남들은 축복받은거라는데 없어도 불안하져~?? ㅋㅋㅋㅋ ㅜㅜㅜㅜ

저도 9주차인데 입덧도없고 아무증상이 없어서 늘 불안한 마음이 있어요 매일 가서 초음파 보고싶어요ㅠ 낼모레 병원가는데 병원가서 젤리곰보고싶네용
🔥 Top BFF Posts Right Now

Download Baby Billy app and check out the various concerns and tips written by other parents

