저희부부도 첫째 아들 뱃속에 있는 둘째도 아들이에요 둘째 생겼을 때 부터 성별은 뭐든 상관없으니 건강하게만 태어나길 바랬는데 주변에선 딸이면 좋겠다고들하고 아들 둘이면 어쩌냐고 걱정아닌 걱정에 속이 상하더라구요 둘째도 아들이라니까 이제 엄마도 남자돼서 그 집은 남자밖에 없겠다고 막말하는 사람까지... 남의 소중한 자식들을 망나니(?) 골칫덩이(?) 취급하는게 참 속상합니다 저희집 소중한 아이들인데요 첫째가 요즘 정말 이렇게 예뻐도 되나 싶을 정도로 예뻐요 점점 더 예뻐지고 사랑스러워져서 큰일이에요 ㅋㅋㅋㅋ 둘째는 또 얼마나 예쁘고 사랑스러울지 기대돼요 화이팅입니당!!!
16개월 아들+16주 아들 인가봐요^^

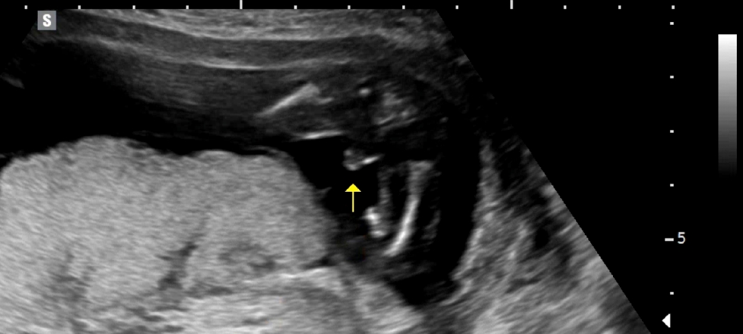
16개월 아들맘 입니다.^^ 오늘 둘째 16주 초음파 봤는데, 다리 사이에 보이는게 있다며 아들 가능성이 높다고 하시네요^^ 아들이든 딸이든 건강하게만 태어나주길 바라는데, 주변에서 많은 분들이 딸이면 좋겠다고 너무 그래서.. 아들이라고 했을때 어떤 반응일지 마음이 좀 그렇네요..ㅜㅜ 정작 저하고 남편은 큰 상관 없는데 말이죠..^^ 그냥 아들 딸 상관없이 건강하길 바란다고 말해주면 참 감사할 것 같아요^^ 지금 첫째도 너무 예뻐서.. 둘째도 너무 예쁠것 같아요♡ 아들맘 딸맘 모두모두 파이팅 입니다.!!
Comment
3

어머~ 정말 맘님 마음 너무 공감 되어요!! 주변에서 너무 그러니까 괜히 속상하고 위축되기까지ㅜㅜ 그렇게 막말하는건 진짜 너무하네요.. 우리 힘내서 건강하게 출산하고 씩씩한 형제들로 키워보아요^^ 저도 요즘 첫째가 너무 사랑스럽네요~~^^ 둘째도 기대하는 맘으로..!! 건강하게 자라주기만을 바랍니다.~ 파이팅!!

엥? 그런말을 하는인간들이 있어여?ㅋㅋㅋ 저였으면 싸웠을것같아요 막말을해도 정도가있지 ㅡㅡㅋ
🔥 Top BFF Posts Right Now

Download Baby Billy app and check out the various concerns and tips written by other parents

