여아같아요!
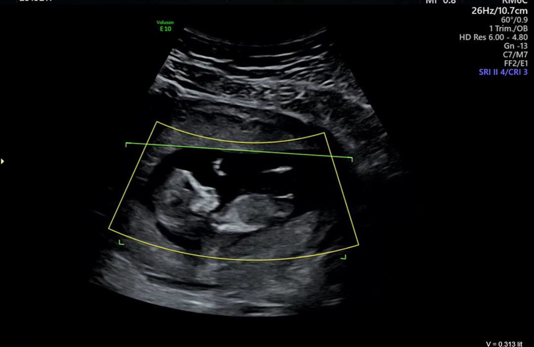
12주 0일차 각도법 봐주세요!!

안녕하세요~! 각도법을 어떻게 보는 지 몰라서 잘 찍힌 사진인지 모르겠네요ㅠㅠ 혹시 이 사진에서도 성별을 유추할 수 있을까요???
コメント
2

봐주셔서 너무너무 감사합니다!
🔥今最も人気のBillyクラブ記事

Baby Billyアプリをダウンロードし 他のママやパパが書いた役立つ情報を見てみよう

Baby Billyアプリで
他の投稿も確認できます!

Baby Billyアプリで 他の投稿も確認できます!
12주 0일차 각도법 봐주세요!!

안녕하세요~! 각도법을 어떻게 보는 지 몰라서 잘 찍힌 사진인지 모르겠네요ㅠㅠ 혹시 이 사진에서도 성별을 유추할 수 있을까요???
コメント
2
여아같아요!
봐주셔서 너무너무 감사합니다!
🔥今最も人気のBillyクラブ記事

Baby Billyアプリをダウンロードし 他のママやパパが書いた役立つ情報を見てみよう
ビレッジベビー
|
|
言語
Copyright ビレッジベビー. All rights reserved.
ビレッジベビー
言語
Copyright ビレッジベビー. All rights reserved.