배 초음파 보신걸까요?
2024년 8월 베동
/ 자유주제
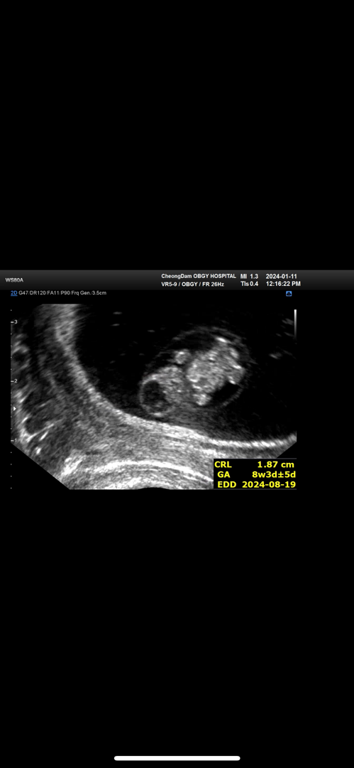
8주차 젤리곰 너무 기여워요

팔다리가 생기기 시작하니까 뭔가 진짜 이제 사람인 것 같고 귀엽다는 생각도 들구 그러네요! 전까지는 그냥 뭔가 신기하다? 정도에 저 작은 세포같은게 날 이렇게 힘들게하나 (입덧) 싶기만 하고 별 감흥이 없었는데.. 이번에 갔을 때 혼자 꼬물꼬물 거리는것도 보구 팔다리 생겨난것도 보니까 뭔가 뭉클해요 아가야 건강히 자라렴
댓글
5

질초음파로 봤어용~~
입덧이있다가도 초음파보면 입덧이 없는거보면 너무신기해요

그러니까요ㅠㅠ 군데지금은 또 시작이네여ㅠㅠ

ㅠㅠㅠㅠㅠ이놈의입덧....언제쯤가라앉을런지..
2024년 8월 베동 베동 전체글
함께 많이 본 베동글

베이비빌리 앱 다운로드받고 다른 엄빠들이 작성한 다양한 고민&꿀팁글을 구경해보세요


