긴장되셨겠다.. 저도생리주기 5주인데 빨리 느끼고 4주에 알게되서 테스트기해보고 두줄나오길래 병원가서 피검사했더니 수치가 너무 낮아서 자궁외임신인가 마음졸이며 2주 기다렸다가 오늘 첫 초음파 보고왔어요!!!축하드려요 ❤️❤️❤️
2024년 9월 베동
/ 자유주제
애기집 보고 왔어요

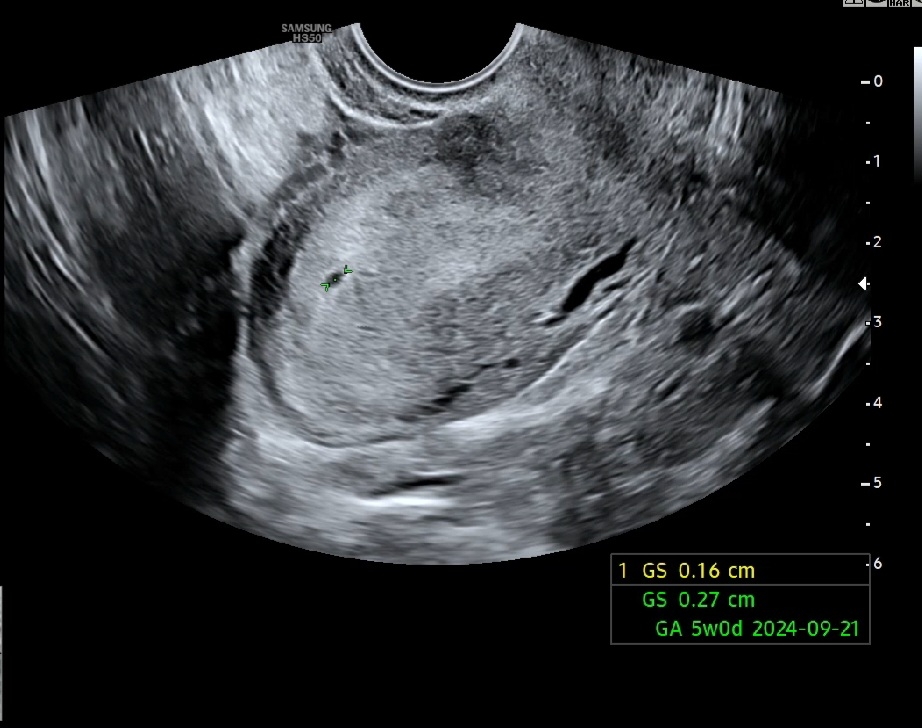
임테기 진하게 2줄이라 산부인과 간건데 (네이버 계산상 5주차!) 근데 의사쌤이 2줄 본거 맞냐고 애기집이 안보인다 해서 너무 맘쫄렸어요 ㅠㅠㅠㅠㅠ 결국 찾았어요! 너무 작아서 극초기래요 ㅎㅎㅎ5주가 아닌가봐요 0.16 cm ㅎㅎㅎ
댓글
5
너무 축하드려요~월요일날 첫 진료가는데 저도 아기집 보고 오고싶어요~~그리고 생리주기가 28일보다 긴편이시면 네이버 주수 안맞을수도 있으세요~ 네이버 기준이 28로 계산 하는거같더라구요? 잘모르지만ㅎㅎ 저도 네이버 주수로는 5주 나오는데 다른 사이트네 제 생리주기 33일 입력해서 하면 4주2일 떠요!!

아하!! 예진실에서 상담할때 초기라 애기집 안보이면 피검사 할수 있다해서 피검사만 하게될까바 한편으로 시무룩 했었어요 찌구님도 예쁜 아가집 보고 오실꺼에요!!!
축하드려요!!저도 5주5일입니다ㅎㅎ

ㅎㅎㅎ 축하드려요 아직 얼떨떨 안믿기는 상태입니닷
2024년 9월 베동 베동 전체글
함께 많이 본 베동글

베이비빌리 앱 다운로드받고 다른 엄빠들이 작성한 다양한 고민&꿀팁글을 구경해보세요


