드뎌 초음파 보고 오셨네요! 심소는 못들어서 아쉬웠겠어요! 그래도 예쁘게 자리잡은 아가집보셔서 아쉬웠던만큼 또 얼마나 행복하셨을지 제가 다 기쁘네여! 2주가 또 힘들고 두 달처럼 지나가겠지만 이쁜생각 이쁜것만 보시면서 기다려보아여! 고나저나 5주2일차면 저랑 주수는 같네요🤭
2024년 9월 베동
/ 자유주제
첫만남 😍

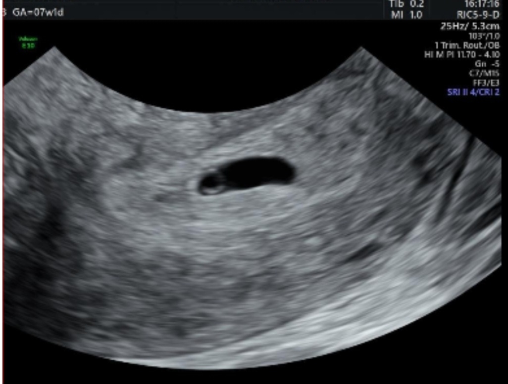
드디어 첫 초음파 하고 왔어요. 근데 제가 생리주기가 불규칙하고 길어서 평균 35일쯤 되서, 주수 차이가 많이 나네요.. 앱으로는 7주2일차였는데 태아 사이즈 보니 5주2일쯤 되는것 같다고... 잘 크고 있는거겠죠? ㅠㅠ 그래도 아기집도 보고 난황도 보고 와서 기뻐요. 2주뒤에 다시 초음파 보자고 예약하고 왔어요. 2주뒤엔 심소도 듣고 왔으면 좋겠네요..
댓글
6

조이맘님 🥰 넵 드디어 그날이왔어요! 자리도 잘 잡았구 피비침도 없다해서 우선 마음은 놓여요. 다음 2주는 조금 편안히 보내보려구요 ❤️ 같은 주수 동기네요!!
귀여운 완두콩 같아요 ❤️ 저는 4주 6일차인데 얼른 보고싶네요 ..☺️

하루 빨리 만나시길 😍
저는 시험관이라서 이번 배란이 2주정도 차이나더라구요 그래서 저도 주수는 정확하지 않다고 하더라구요ㅠㅠ저도 예정이로는 현재 7주차인데 5주 정도라고 하시더라구요! 너무 스트레스 받지말구 아이랑 좋은 생각만해용❤️

네 ㅠㅠ 어찌되었던 자리 잘 잡은건 확인했으니 2주 동안 마음 편하게 먹으려구요
2024년 9월 베동 베동 전체글
함께 많이 본 베동글

베이비빌리 앱 다운로드받고 다른 엄빠들이 작성한 다양한 고민&꿀팁글을 구경해보세요


