심장소리는 몇정도 나왔어용?ㅎㅎ
2024년 9월 베동
/ 자유주제
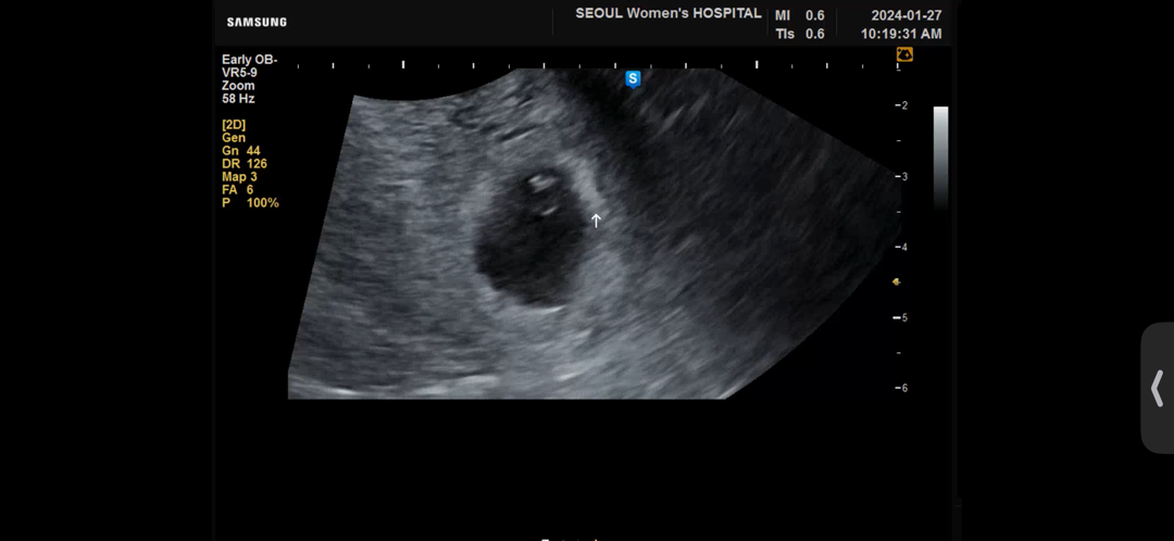
심장소리 듣고왔어요!

막생 12월16일 1월17일에 아기집에 난황생길랑말랑하는 상태확인하고, 2주뒤에 오라고하셨지만 급한마음에 오늘가서 심장소리듣고왔네요!ㅎㅎ
댓글
14

116bpm이요!ㅎㅎ

몇주차에 들으신거에용?ㅎㅎ
막생이 저랑 같으세요ㅋㅋ 저랑 주수도 같으시네여^-^ 빨랑 저도 심장소리들으러가고싶은데 참고 예약한 날에 가려구요

으앗 ㅋㅋㅋ 동지네요!!ㅎㅎ 흑 예약까지기다리시고 존경스럽습니다ㅜㅜㅋㅋ 언능 예약날 듣고오시길 바랄게요❣️

탈퇴한 유저
심장소리 빨리 들으셨네요🥹엄청 좋으셨겠어요 저도 일주일 뒤에 얼른 듣고 싶네요

다음주에 들으신다니 저도 덩달아 떨리네요>< 우렁찬 심장소리 들으시길 바랄게요❣️
저랑 똑같으신데 저는 배란 늦게 되서 아직 아기집이 묭이님에 비해 많이 작은거같네유,,

주기에 비해 배란이 조금 빨랐던것같다고하셨어요 ㅎㅎ 아또님도 조만간 우렁찬 심장소리 들으실거에요😍

감사해요🥹

탈퇴한 유저
몇주 몇일차에 들으신거예요?

오늘 딱 6주0일차요!
2024년 9월 베동 베동 전체글
함께 많이 본 베동글

베이비빌리 앱 다운로드받고 다른 엄빠들이 작성한 다양한 고민&꿀팁글을 구경해보세요


