저도 얼른 젤리곰보고싶어요!!! 설 후에 가기로했어요 너무 시간이 안가네요 ㅋㅋㅋ
2024년 9월 베동
/ 자유주제
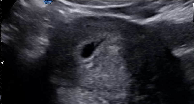
심장소리 듣고왔어요 :)

6주차 초반에 심장소리 듣고 왔어요 :) 저기 아주 껌딱지만한게 110 bpm 이라는게 뭔가 벌써 자랑스러운ㅎㅎ 2주뒤에 병원 오라고 하는데 그때까지 잘 자라면 좋겠어요! 언능 젤리곰 사진으로 보고 싶네요
댓글
4

설 이후에 모두 좋은 일 있길바랄게요👍🏻
저도 오늘 6주4일차 120bpm 심소듣고왔어요!!ㅎ 저도 2주뒤에 설 잘보내고 보자고 하시던데.. 2주가 2년같을듯해요…ㅋ

ㅎㅎㅎ화이팅입니다!!
2024년 9월 베동 베동 전체글
함께 많이 본 베동글

베이비빌리 앱 다운로드받고 다른 엄빠들이 작성한 다양한 고민&꿀팁글을 구경해보세요


