2주 후엔 쿵쾅 쿵쾅 정말 감격스러울 정도로 우렁찰거예요❤️ 저는 작은둥이땜시 다음주에 또갑니다ㅠㅠ
2024년 9월 베동
/ 자유주제
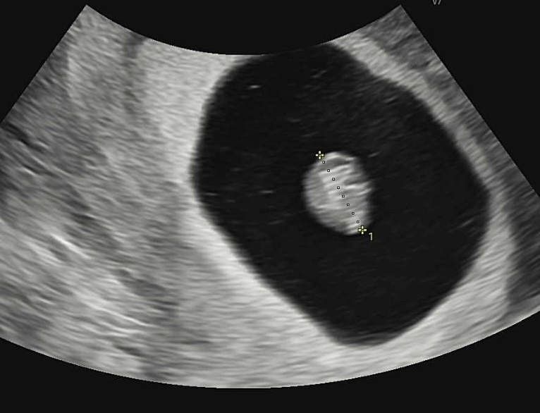
심소듣고왔어요!!

오늘 심장소리 듣고왔어요!!ㅎㅎ 애기가 엄청 커있어요 강낭콩같이 너무 귀엽더라구요 너무 감격스럽습니다ㅠㅠㅠ 얼마나 크려는지 입덧도 심해져서 입덧약도 처방해왔어요
댓글
8
띠용맘님😆 드디어 아가 보고 오셨군용💜 근무땜에 걱정하시더니😂 귀여운 아가 보시구 힘내세용ㅎㅎ 저도 어제 우리 둥이들 보고왔는데 작은둥이가 좀 약하다고 하더라구요😭 그치만 아가들은 생각보다 강하니까!! 걱정 안하려구용 ㅎㅎ 행복한 주말 보내세용❤️

그럼요!!! 저도 걱정했는데 엄청 잘커있더라구요 너무 설레는 심장소리였어요ㅠㅠ저도 초반이라 아직 팡팡뛰는건아니지만 2주뒤에 더 큰소리 날거라고 하시더라구요! 띠딱맘님도 걱정마시고 몸 잘챙기세요❤️

탈퇴한 유저
엄청 좋으셨겠어요 ! 몇주차에 보고 오신걸까요?

오늘 6주5일이에요!


탈퇴한 유저
저랑 비슷한 주수이시네요ㅠㅠ 갈때마다 주수가 바껴서 오늘 6주 2일차인데 아기가 안보인다고 하셔서 여쭤봤어요ㅠㅠ

저는 4주부터 아기집이 확인되서 좀 빨리 확인했어요!

지난 주(6주2일)에 방문했을 때 아기집만 보였어요. 오늘 방문(7주2일)하니 난황에 아기, 심장까지 잘 보이더리구요! 걱정마세요!
2024년 9월 베동 베동 전체글
함께 많이 본 베동글

베이비빌리 앱 다운로드받고 다른 엄빠들이 작성한 다양한 고민&꿀팁글을 구경해보세요


