잘 크고 있는 거 같아요~! 저는 이틀전인..ㅋㅋ 5주 5일 0.2cm 심박수 100 이라고 하시며 아쥬 미세하게 듣고 왔습니다 >_<
2024년 10월 베동
/ 자유주제
심장소리 듣고왔어요!

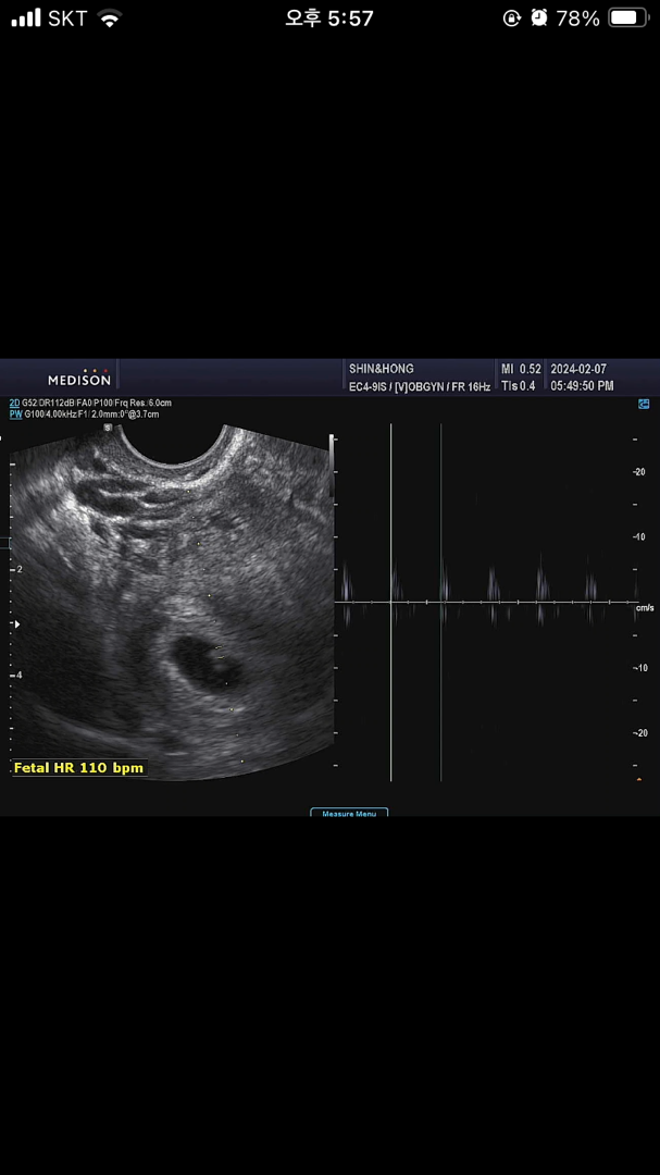
6주1일 아기는 0.37cm 심박수는 110이래요 주수에맞게 잘 크고있는거겠죠??
댓글
5
6주에도 심장 소리를 들을 수 있나요? 와 신기하네요!
네에>_< 잘크고 있는거 같아요! 저도 오늘 딱 6주 1일차인데 아기 4mm에 119bpm이었어요!
심소를 빨리 들으셨네요!!
103~126 6주 심박수래요>< 잘크고 있네요!!
2024년 10월 베동 베동 전체글
함께 많이 본 베동글

베이비빌리 앱 다운로드받고 다른 엄빠들이 작성한 다양한 고민&꿀팁글을 구경해보세요


