저도 담주에 심소들으러가는데 제발 잘 붙어있어주길요😍
2024년 10월 베동
/ 자유주제
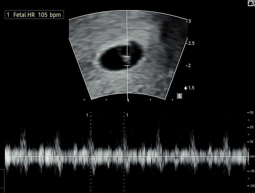
6주3일 심소듣고왔어요!

오늘 막생기준6주3일이고 정확한주수는 아기가 너무너무작아서 5일뒤 다시 병원 내원예정이예요 선홍빛냉이 살짝비춰져서 설연휴내내 걱정했는데 다행히 피고임없고 심장소리도 잘뛰어서 다행이예요ㅠㅠㅠㅠ
댓글
2
4주 6일에 병원에서 아기집만 확인한 후 7주에 오라는데 저도 난황이랑 심소가 너무 듣고싶어요 ㅜㅜ 아가들 잘 크고 있겟죠?
2024년 10월 베동 베동 전체글
함께 많이 본 베동글

베이비빌리 앱 다운로드받고 다른 엄빠들이 작성한 다양한 고민&꿀팁글을 구경해보세요


