저는 오늘5주1일차인데 난황까지 보구왔어요~~~~자리 아주 잘 잡았다고 하시더라구용
2026년 2월 베동
/ 자유주제
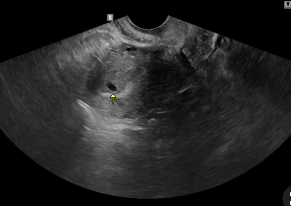
5주0일차 드뎌 아기집 보고왔어요~

5주0일차 인데 2주뒤에 아기크기보고 변경될수있다고 하시더라구요~~~~~ 간혹 난황까지 보시는 분들 있어서 내심 기대했는데 못봐서 아쉽네요 ㅠㅠㅠ 크기는 0.60mm 이라더라구요~~~ 아직은 난황이 안보이는 시기인거 맞죠? ㅠㅠㅠㅠㅠㅠ 다른 분들은 어떠셨나요 ㅠㅠㅠ 2주뒤에 병원가는데 정말시간이 안갑니다 ㅠㅠㅠ 설렘반 걱정반으로 기다리는 요즘입니다~~
댓글
9
저는 어제 초음파했는데 5주3일인걸 알게되고 처음으로 아기집보고 난황까지 확인하고왔답니다ㅎㅎ 아마 다음검진때 보실수있을꺼에요~걱정마세용☺️

네~ 아기믿고 기다려 볼께요~ 응원댓글 감사합니다~ 빵글이도 항상 건강하길 바랍니다 ☺️💛
저두 5주1일차에 아기집만보고 와쒀요ㅠㅠ 난황 기대했는데...2주가 엄청 느리게 가네요 우리모두 2주뒤 3콤보 확인하구 만나요🤍

정말 2년 같은 이주입니다~~~!! 우리 2주 잘보내고 꼭 건강한 아이 만나고 와요 🩵💛 화이팅입니다 :)
저도 지난주에 갔더니 5주 4일차 아기집만 보고 왔어요~ 선생님께서 아기집 자리 잘 잡았으니 아무 걱정 말고 맘 편히 잘 먹고 잘 쉬고 잘 자고 이주 뒤에 보자고 하시더라고요~이주 뒤에 우리 좋은 소식으로 또 만나요♡♡

댓글 하나의 힘이 이렇게 대단하다니.. 감동으로 가득찬 밤입니다 🥹 네!!! 저희 아가믿고 잘 기다려봐요~!! 이주뒤에 씩씩한 심소 듣길 바랍니다 🩵
저두 5주 3일땐 아기집만보고 6주5일때가서 아기, 난황, 심장소리 3콤보로 보고왔어요! 너무 걱정마세요~

우아 정말요?? 건강한 아가 보고오신거 축하두려요~~ 댓글보니 한결 마음이 편해지고 많은 힘이 됩니다! 감사합니다! 우리모두 건강한 10달 보내봐요☺️
함께 많이 본 베동글
🔥 실시간 2026년 2월 베동 인기글

베이비빌리 앱 다운로드받고 다른 엄빠들이 작성한 다양한 고민&꿀팁글을 구경해보세요

