안녕하세요 엄빠님! 베이비빌리입니다. 각도법이 궁금하신 엄빠님께만 알려드려요🙋🏻♀️🙋🏻♂️ 각도법에 관심 있는 엄빠들이 모여있는 게시글에서 의견을 나누어보면 어떨까요?👼🏻 또, 빌리AI로 각도법을 검사하는 미니 테스트 서비스도 오픈 되었다는 깜짝 소식이 두두등장! 지금 바로 각도법으로 울 아기 성별을 추측해보세요😍 👉🏻 지금 바로 성별 질문 남기기 https://app.babybilly.app/rcofna ⭐빌리AI로 각도법 검사하는 미니 테스트 서비스 오픈! https://gender-test.babybilly.co/ 한 번 무료로 검사해보시고 결과가 잘 맞는지 빌리에게도 알려주시기로, 약-똑!😍
2026년 5월 베동
/ 성별질문
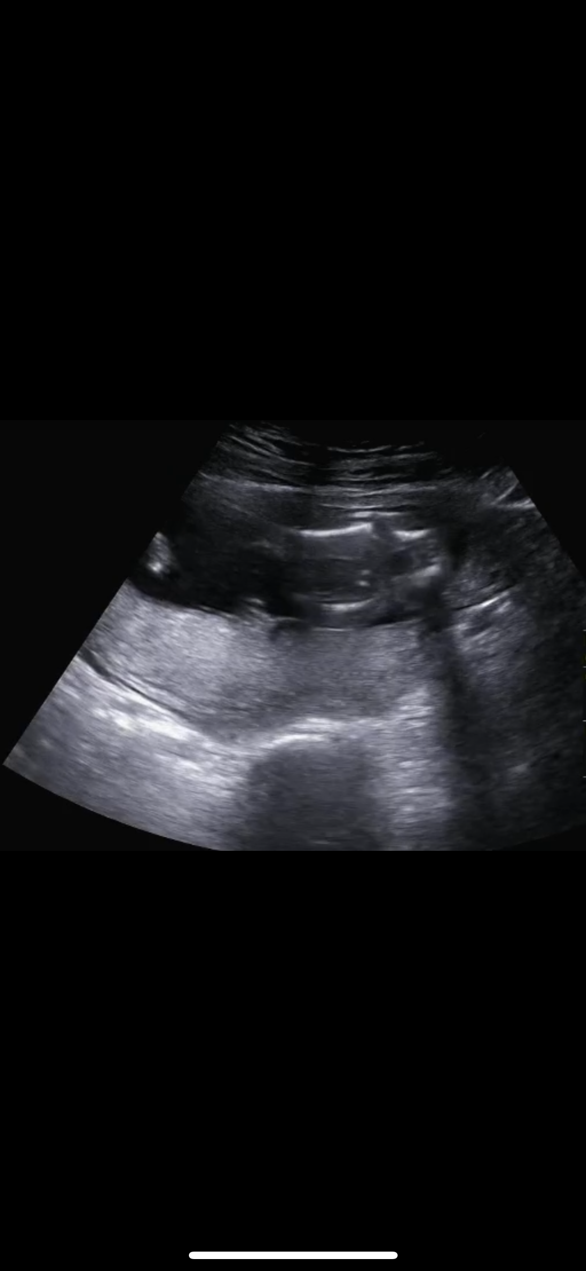
16주차 초음파인데 성별 좀 봐주세여ㅠㅠ

이 전에 올린 사진은 다리 사이를 비추었을 때 계속 보여진 부분인데 남편은 찰나에 나온 점 두 개가 계속 신경쓰이는지 이 사진으로 올려보라고 하네요ㅠㅠ 다시 한 번 도와주세요ㅠㅠ
BETA
우리 아기 성별이 궁금하신가요?
초음파 사진을 올리면 AI가 무료로 예측해줘요
댓글
2
저 14주 아들이랬는데 저랑 엄청 비슷하신거 같은데요?!!
함께 많이 본 베동글
🔥 실시간 2026년 5월 베동 인기글

베이비빌리 앱 다운로드받고 다른 엄빠들이 작성한 다양한 고민&꿀팁글을 구경해보세요

