축하드려요! 저도 어제 갔는데 4주정도인데 피검만하고 가라하더라구요.. 담주에 초음파보자고 ㅜㅠ
2024년 9월 베동
/ 자유주제
안녕하세요!

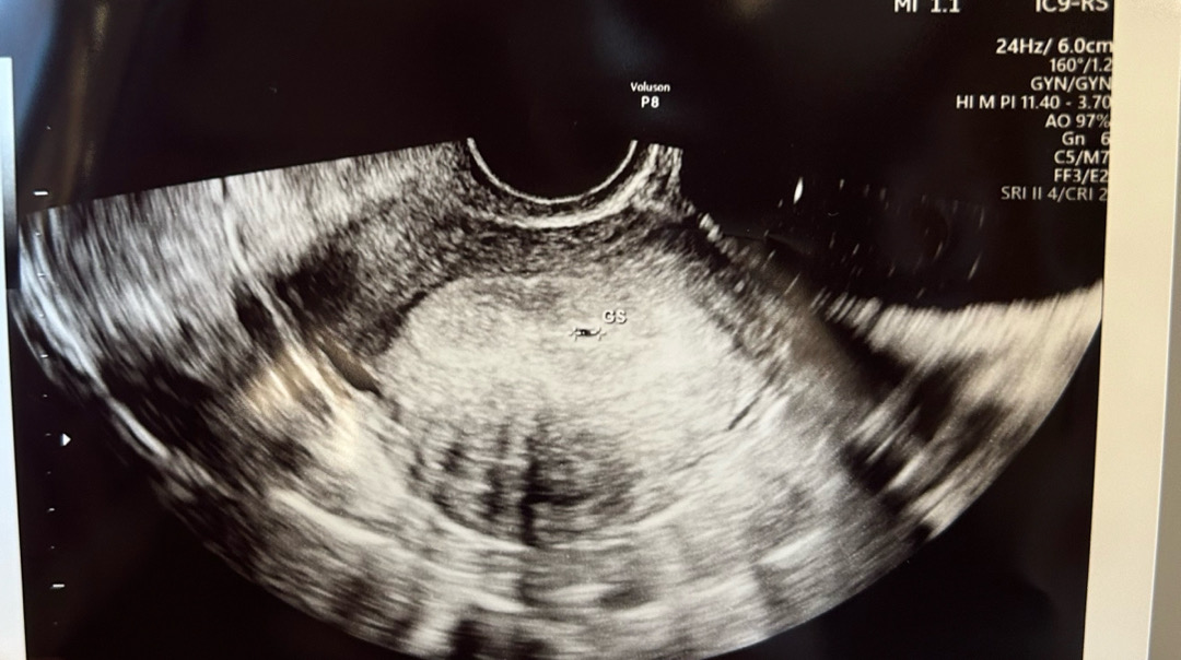
12/9 마지막 생리 시작일 1/5 첫 임테기 두줄 확인 1/8 아기집 아주 조그맣게 확인 피검사하러 병원에 갔다가 제가 생리 주기가 28-30일로 규칙적인 편이라고 말씀 드리니 초음파로 아기집 보일 수도 있다고 하셔서 피검사 스킵하고 바로 초음파를 했고, 0.3센치 아기집을 확인했어요❣️ 의사쌤은 아직 확실한 건 아니지만 4주차 크기에 해당하고 위치도 아기집 위치라 임신 맞을 거 같다고 하시네요 ㅎㅎ 다음주에 한 번 더 초음파 보기로 했습니다. 2월 3월 해외여행 예정이었는데 전부 취소하고 난리였네요 ㅋㅋ 무사히 쑥쑥 커줬으면 좋겠어요!!
댓글
7

4주차 초기면 안 보일 가능성이 높은 거 같더라구요 ㅎㅎ 담주에 초음파로 확실히 보실 수 있을 거에요!
오.... 생예 하루전인데 아기집이 보이셨군요!? 저도 얼른 가보고 싶은데 안 보일까봐 기다리는 중인데 그냥 빨리가볼깡봐요😭

의사쌤도 안 보일 수도 있다고 하셨어요! 그래서 안 보이면 피검사하려고 했는데 운이 좋았어요 ㅎㅎ

오오 너무 부러워요😭😭 전 언제 역전되나 기다리고 있답니다😂
축하드려요!! 저는 아직 아기집을 못봐서..넘 부럽네요!! 푹쉬시면서 몸관리 잘하셔용!

감사합니다🩵
2024년 9월 베동 베동 전체글
함께 많이 본 베동글

베이비빌리 앱 다운로드받고 다른 엄빠들이 작성한 다양한 고민&꿀팁글을 구경해보세요


