2024년 7월 베동
/ 자유주제
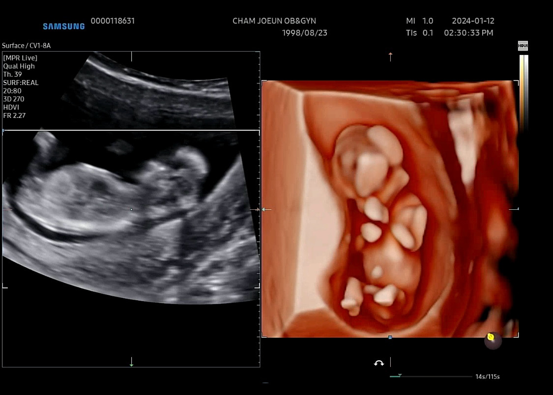
12주차 성별

오늘 1차 기형아검사 끝냈구 밑에 알 두개가 보이는데 ... 의 사 쌤도 모르겠다고 한달 뒤에 보자고 하더라구요 ㅠㅠ 주위에서 다 아들 같다고 하긴 하는데 딸 3명 있는 지인은 또 딸 같다고 말해서 ... ㅠㅠ 여러분들이 보시기엔 어떤가요 !?!
댓글
0
아직 남겨진 댓글이 없어요.
2024년 7월 베동 베동 전체글
함께 많이 본 베동글

베이비빌리 앱 다운로드받고 다른 엄빠들이 작성한 다양한 고민&꿀팁글을 구경해보세요


