저도 아들한표요~!
자유 베동
/ 자유주제
12주

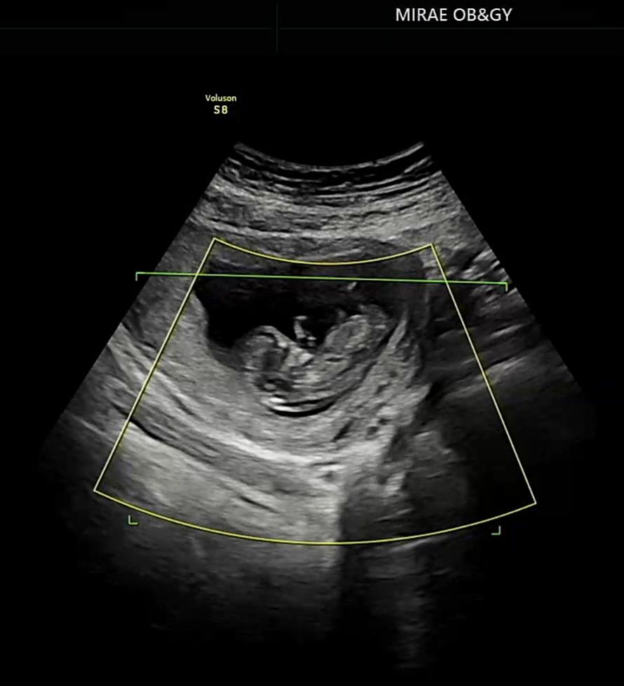
12주차 오늘 산부인과 갔다왔는데 초음파 각도법좀 봐주세용!!고수님들 잘봐주신다는데 저는 아들인지 딸인지 하나도 모르겠어요
댓글
14
지금 시기쯤 성별이 궁금한건 누구나 다 그럴겁니다. 각도법은 12주에서 14주사이에 꼬리뼈가들어가고 생식기가 발달하면서 생기는 하체의 각도로 보는거라서 당연히 지금 시기에 궁금하니 물어보실수도 있죠. 제가 보기엔 아직 허리랑 머리가 많이 말려있고 자세로 봐서는 아기가 아직 많이 쪼그리고 있고 많이 움직였거나 여러 이유로 초음파가 잘 찍히지 않은거같아요. 굳이굳이 눈을 크게뜨고 보자면 저는 아들에 한표 드리고싶네요. 그리고 이거는 제가 병원에 안좋은 기억이 있어서 고민하다가 조심스럽게 말씀드리는건데 혹시 대구지역이신지... 실례가 안된다면 제가 알 수 있을까요...?

아닙니다 ㅜ전라도예요

대구 아니면 다행입니다🙂 성별 많이 궁금하시면 세컨병원 정한 곳 있으시면 가셔서 진료 한 번 더 보세요. 저는 다리 꼬고 안보여줘서 다음진료일만 기다리고 있어요ㅎㅎ

아진짜요?우와..다리꼬기도 해요?신기하네요

저도 이렇게까지 가리고있는게 맞나 싶었고, 의사선생님도 숨바꼭질을 좋아하는 아기라고 했어요. 초음파 12주에 한번 13주에 한번 봤는데 팔로 복싱할때 가드올리듯이 얼굴가리고있고 다리를 배쪽으로 구부려서 종아리쪽을 엑스자로 꼬고 발로 거시기를 가리고 있었어요. 배를 겁나게 흔들었는데 편안하게 미동도 없이 있더라구요. 결국 성별은 못봤어요. 성별 너무 궁금합니다ㅠ

기엽네요 ㅜㅜ아가가 벌써부터 엄마랑 장난두 치구

탈퇴한 유저
아직은 다리사이를 볼 시기는 아닌거같아요. 성별은 16주에 확인하는 편이에요~ 16주에 딸이였다가 20주에 아들되는 반전도 있을수어서 조금만 기다려보셔요~

다들 12주 시기에 많이들 물어보길래 물어봤습니다
각도법을 보려면 생식기부위가 보여야하는데 지금 영상샷 자체가 위상차때문에 잘 안보이네요 ㅠㅠ

사진 다시 바꿧는데 보이시나요?ㅜ

아니요 ㅠ 다른 각도법 사진 보시면 아실거에요. 생식기 부위가 확실히 보여야해요 ㅠ

저도 잘모르겠네요 사진을 어떻게 줘야할지 어디가 생식기 부위인지...

[베이비빌리 동기모임] 재미로 보는 각도법 예시사진 https://app.babybilly.app/iu7cz0 이렇게 보여야해요.
자유 베동 베동 전체글
함께 많이 본 베동글

베이비빌리 앱 다운로드받고 다른 엄빠들이 작성한 다양한 고민&꿀팁글을 구경해보세요


