아들같아용!!
2024년 7월 베동
/ 자유주제
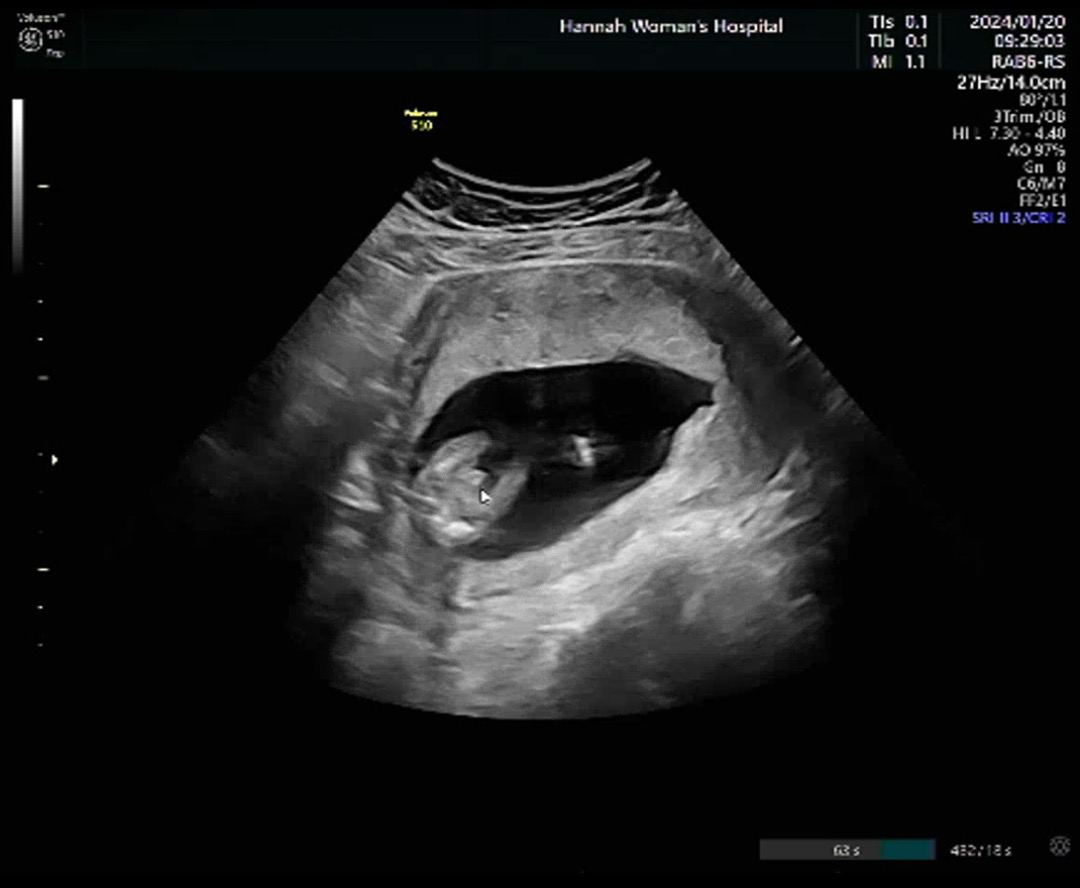
15주1일차 촘파 봐주세요!!

아들맘 확정인거죠?!! 🌶️존재감이 뿜뿜하네요ㅋㅋㅋㅋㅋ 의사쌤도 튀어나온거 보이나면서ㅋㅋㅋ 다들 보시기에 어떠신가요? 댓글 남겨주세요😊😊
댓글
2

그쵸!! 아들맘 확정이요~~😊
함께 많이 본 베동글
🔥 실시간 2024년 7월 베동 인기글

베이비빌리 앱 다운로드받고 다른 엄빠들이 작성한 다양한 고민&꿀팁글을 구경해보세요

베이비빌리 앱에서
더 많은 베동글을 볼 수 있어요!

베이비빌리 앱에서 더 많은 베동글을 볼 수 있어요!
2024년 7월 베동
/ 자유주제
15주1일차 촘파 봐주세요!!

아들맘 확정인거죠?!! 🌶️존재감이 뿜뿜하네요ㅋㅋㅋㅋㅋ 의사쌤도 튀어나온거 보이나면서ㅋㅋㅋ 다들 보시기에 어떠신가요? 댓글 남겨주세요😊😊
댓글
2
아들같아용!!
그쵸!! 아들맘 확정이요~~😊
함께 많이 본 베동글
🔥 실시간 2024년 7월 베동 인기글

베이비빌리 앱 다운로드받고 다른 엄빠들이 작성한 다양한 고민&꿀팁글을 구경해보세요
주식회사 빌리지베이비
대표이사 이정윤
통신판매업신고번호
|
사업자등록번호 581-88-01277
|
서울특별시 영등포구 의사당대로 83, 오투타워 4층
|
|
Language
Copyright Baby Billy. All rights reserved.
주식회사 빌리지베이비
대표이사 이정윤
통신판매업신고번호
사업자등록번호 581-88-01277
서울특별시 영등포구 의사당대로 83, 오투타워 4층
|
|
Language
Copyright Baby Billy. All rights reserved.