저도 9/14 예정일요!! 전 아직입덧없어요 ㅎ 아침에만 조금 속안좋은정도요 저도6주2일에 초음파보고 7주2일에 또가요 ㅎ
2024년 9월 베동
/ 자유주제
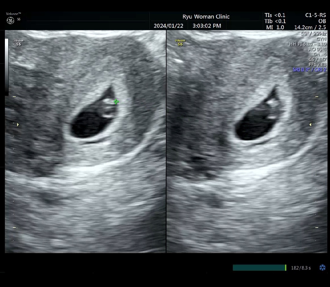
어제 심장소리 듣고왔어요~

1월 11일에 콩알만한 아기집보고 생리일 기준으론 5주지만 2주후에 아기 보이면 다시 예정일 잡아야겠다고~ 한 일주일정도 출산일 밀리겠다 하셨는데 어제 심소랑 아기랑 난황이랑 보고왔어요~ 애기 크기로 6주2일 된거 같다고 9월 8일 예정일이었는데 9월 14일로 정정해주셨어요 ㅎㅎ 입덧이 별로 없다 생각했는데 그냥 주기가 아니였던가봐요 울렁거리기 시작했어요....
댓글
11

저도 아직은 그래도 괜찮은거 같은데... 또 아닌거 같다가ㅋㅋㅋ 왔다갔다 하는거 같아요 ㅋㅋㅋㅋ 전 2주뒤에 오라셨어요ㅋㅋ 설전에 가려구요
우와 저도 예정일 9/14 이에요!!❤️

반가워요! 비슷한 맘들이 많은가봐요 ㅎㅎㅎ
와ㅎㅎ배아가 보이는 거 같아요^^ 저두 아기집만 보고 와서 2주 뒤를 기다리고 있는데 빨리 가서 더 큰 걸 보고싶어요ㅠㅠ 저도 그쯤되면 입덧을 하려나요ㅠ 지금은 전혀 없는데 말이죠^^;

저도 빨리 보고싶었는데ㅋㅋㅋ 무럭무럭 크는거 같아요~~~
축하드려요~~ 저도 어제 6주하고 3일 됐고 열매 심장소리 듣고 사진 받아왔어요~~ 출산 예정일 9월 13일인데!! 하루 차이나네요! 저도 아침마다 울렁거려서 아무것도 못먹겠어요ㅠ

저랑 태명도 출산예정일도 똑같으시네요!!ㅎㅎ

어머!! 너무 반가워요!!🥹저희 순산합시당♥️
건강하게 만출 하세영👼🍀

감사합니다 저희 같이 건강하게 만출해요~~~~
2024년 9월 베동 베동 전체글
함께 많이 본 베동글

베이비빌리 앱 다운로드받고 다른 엄빠들이 작성한 다양한 고민&꿀팁글을 구경해보세요


