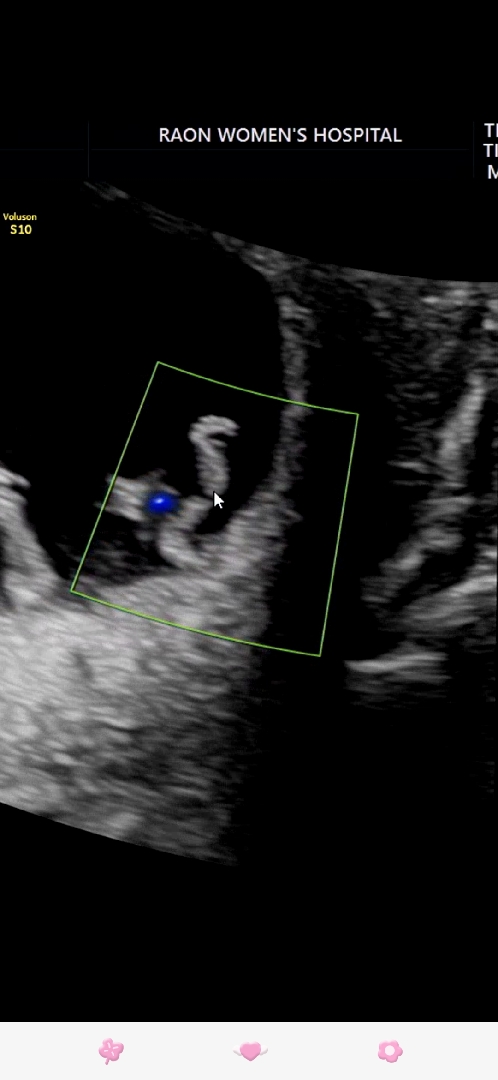
발가락이 다섯개 잘보이네용 ㅎㅎ
2024년 8월 베동
/ 자유주제
10주 2일 발바닥 인가요? (초음파사진)

이거 발바닥일까요?
댓글
4

탈퇴한 유저
발바닥 넘 귀여우ㅏ요 ㅎㅎㅎㅎ
오앙 신기하네요?? 전 10주때 곰돌이였거든용

아그래요? 곰돌이 ㅋㅋㅋ 귀여웠겠어요 ~~^^ ♡
함께 많이 본 베동글
🔥 실시간 2024년 8월 베동 인기글

베이비빌리 앱 다운로드받고 다른 엄빠들이 작성한 다양한 고민&꿀팁글을 구경해보세요

베이비빌리 앱에서
더 많은 베동글을 볼 수 있어요!

베이비빌리 앱에서 더 많은 베동글을 볼 수 있어요!
2024년 8월 베동
/ 자유주제
10주 2일 발바닥 인가요? (초음파사진)

이거 발바닥일까요?
댓글
4
발가락이 다섯개 잘보이네용 ㅎㅎ
탈퇴한 유저
발바닥 넘 귀여우ㅏ요 ㅎㅎㅎㅎ
오앙 신기하네요?? 전 10주때 곰돌이였거든용
아그래요? 곰돌이 ㅋㅋㅋ 귀여웠겠어요 ~~^^ ♡
함께 많이 본 베동글
🔥 실시간 2024년 8월 베동 인기글

베이비빌리 앱 다운로드받고 다른 엄빠들이 작성한 다양한 고민&꿀팁글을 구경해보세요
주식회사 빌리지베이비
대표이사 이정윤
통신판매업신고번호
|
사업자등록번호 581-88-01277
|
서울특별시 영등포구 의사당대로 83, 오투타워 4층
|
|
Language
Copyright Baby Billy. All rights reserved.
주식회사 빌리지베이비
대표이사 이정윤
통신판매업신고번호
사업자등록번호 581-88-01277
서울특별시 영등포구 의사당대로 83, 오투타워 4층
|
|
Language
Copyright Baby Billy. All rights reserved.