아기집이 하트모양으로 보이는건 제 기분탓인가요? ㅠㅠ넘 소중하고 기여워요😍
2024년 9월 베동
/ 자유주제
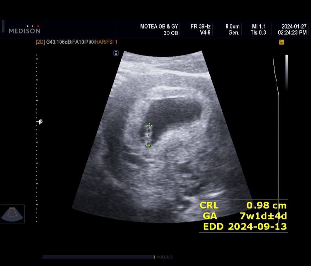
7주1 or 2일 쵸음파 스크린샷

오늘 배아가 1cm에 심박수 130 이 되어야한다구 하더라구요! 오늘 차수로 0.97~8cm, 140 보고왔습니다. :) 2주뒤에 가면 2cm에 심박수 160이 되어야 한대요. 병원가면 시험보는 느낌이네요~~ 안그래도 어렵게 시험관 5번에 얻은애기라..ㅎㅎ 우리모두 만출해요!!!
댓글
6

에구구 복받으실거예요~감사해요~
고생하셨네요~~아가 무럭무럭 잘크길 바랍니다~~♡

감사합니다!❤️❤️
화이팅이에요!!!! 우리 소중한 애기 절대 지켜요🥹🫶🏻

🙏❤️🙏❤️🙏넵!!!
2024년 9월 베동 베동 전체글
함께 많이 본 베동글

베이비빌리 앱 다운로드받고 다른 엄빠들이 작성한 다양한 고민&꿀팁글을 구경해보세요


