100% 아들 같아요ㅋㅋㅋ
2024년 7월 베동
/ 자유주제
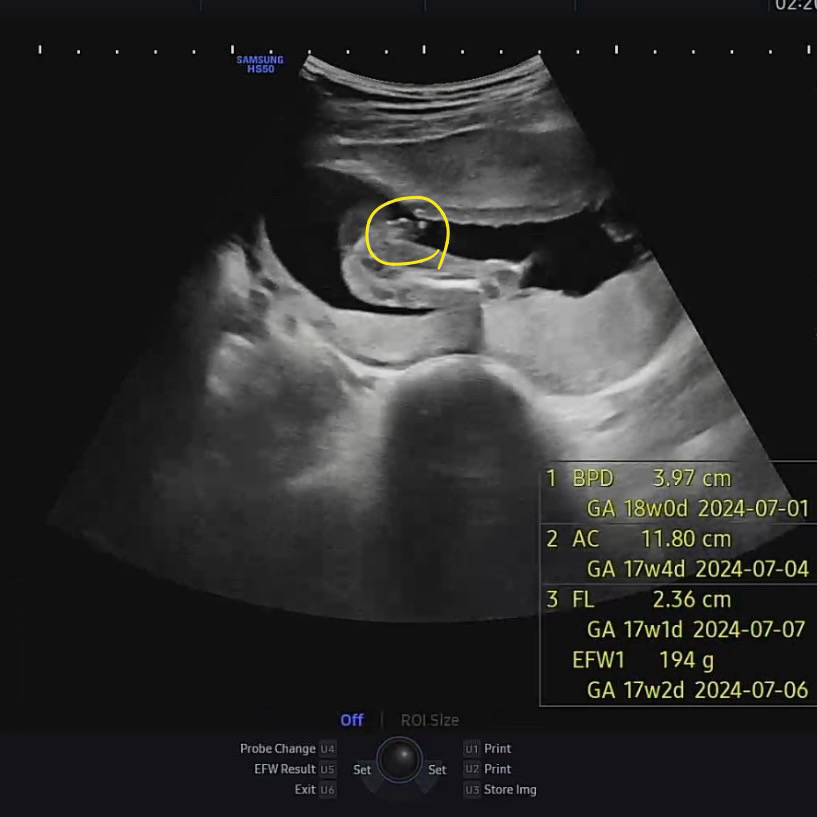
17주 성별

17주에도 🌶️가 있으면 확정인거죠?ㅋㅋ 담당쌤이 빨리 알려주면 안돼 하면서 확률만 높다라고만 하시네요 자꾸ㅠㅠ
댓글
4
아들 맞는것 같네요 ㅋㅋ
ㅋㅋㅋ저아들맘확정인데 제초음파랑 비슷한게 보이시네여
17주면 거의 확정이지 않을까용?ㅋㅋㅋ
2024년 7월 베동 베동 전체글
함께 많이 본 베동글

베이비빌리 앱 다운로드받고 다른 엄빠들이 작성한 다양한 고민&꿀팁글을 구경해보세요


