우와! 저도 6주 2일차에 심소 들으러 가는데 시간이 너무 안가네요ㅜㅜ
2024년 9월 베동
/ 자유주제
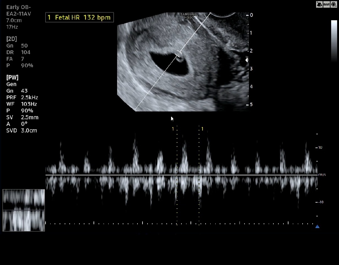
6주2일 심소 듣고 왔어요 ☺️

심소 못들을까바 너무너무너무너무 걱정했는데 피고임도 없고 건강한 우리 애기 심장소리 듣고 왔어요 소리 듣는데 뭔가 맘 한쪽에 울컥 하는 감정이..
댓글
4

심소 듣기 전까지 매주 병원을 갓는데 시간 진짜 안가져....
우아 너무 잘 되셨어요^_^ 무럭무럭 자라라

정말 무럭무럭 자라라ㅠㅠ!!
2024년 9월 베동 베동 전체글
함께 많이 본 베동글

베이비빌리 앱 다운로드받고 다른 엄빠들이 작성한 다양한 고민&꿀팁글을 구경해보세요


