개인적 의견이지만 딸이신것 같아요 ㅎㅎ
2024년 8월 베동
/ 자유주제
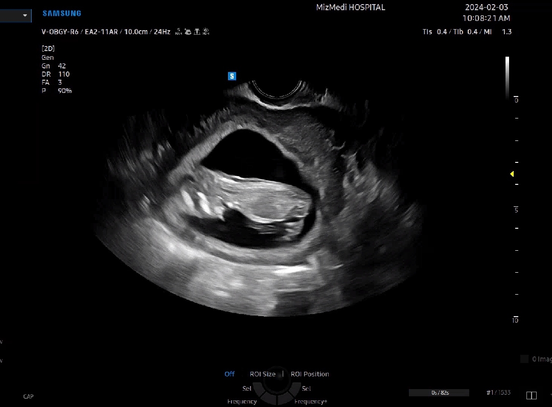
11주 5일 각도법 봐주세요~

촘파보다가 캡쳐했는데 제 눈에는 딸같은데 고수님들 함께 봐주세요~
댓글
2
장꾸맘까페에 올리시는게 각도법거의 동영상으로 봐야 알수 있데욤
함께 많이 본 베동글
🔥 실시간 2024년 8월 베동 인기글

베이비빌리 앱 다운로드받고 다른 엄빠들이 작성한 다양한 고민&꿀팁글을 구경해보세요

베이비빌리 앱에서
더 많은 베동글을 볼 수 있어요!

베이비빌리 앱에서 더 많은 베동글을 볼 수 있어요!
2024년 8월 베동
/ 자유주제
11주 5일 각도법 봐주세요~

촘파보다가 캡쳐했는데 제 눈에는 딸같은데 고수님들 함께 봐주세요~
댓글
2
개인적 의견이지만 딸이신것 같아요 ㅎㅎ
장꾸맘까페에 올리시는게 각도법거의 동영상으로 봐야 알수 있데욤
함께 많이 본 베동글
🔥 실시간 2024년 8월 베동 인기글

베이비빌리 앱 다운로드받고 다른 엄빠들이 작성한 다양한 고민&꿀팁글을 구경해보세요
주식회사 빌리지베이비
대표이사 이정윤
통신판매업신고번호
|
사업자등록번호 581-88-01277
|
서울특별시 영등포구 의사당대로 83, 오투타워 4층
|
|
Language
Copyright Baby Billy. All rights reserved.
주식회사 빌리지베이비
대표이사 이정윤
통신판매업신고번호
사업자등록번호 581-88-01277
서울특별시 영등포구 의사당대로 83, 오투타워 4층
|
|
Language
Copyright Baby Billy. All rights reserved.