여기 병원 어딘가요 화질이 거의 뭐 DSLR인데요? 우왕
2024년 8월 베동
/ 자유주제
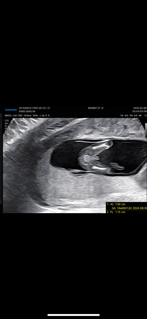
13주 이정도면 성별 변할 가능성 없겠죠..?

13주 3일인데요~ 허벅지 뼈길이 재주시다가 도저히 못본척 못하시겠다고...ㅎㅎ 이정도면 바뀔 가능성은 없겠죠??ㅋㅋㅋ...
댓글
25

앗 그런가요ㅎㅎ! 안양 봄빛병원입니다

아하 안양 주민이셨군요!반갑습니당

탈퇴한 유저
어머나 ㅋㅋㅋㅋㅋㅋㅋ 정말 못본척 못하겠네요 엄마 나 아들이야!!!!!! 이런 느낌ㅋㅋ 귀여워용

ㅋㅋㅋㅋㅋㅋㅋㅋㅋㅋ딸로 바뀔 가능성은 -1000% 인걸로^^!
저두 어제 확인했구 14주인데 ㅋㅋ비슷해요 존재감이 뿜뿜하더라구여 아들은🤣🤣

ㅋㅋㅋㅋ아들맘 동지군여!! 열심히 체력 키워놔야겠어요ㅋㅋㅋ!!
대박 ㅎㅎㅎ 전 담주에 가는데 아휴 성별 너무 궁금해요 ㅎㅎ 우리아가는 어떨지 ㅎㅎㅎ

와아아ㅏㅏ~~!! 설레시겠어요!! 딸이든 아들이든 건강하게만❤️❤️❤️
악 이런 촘파는 첨봐요ㅋㅋㅋㅋㅋㅋㅋㅋ너뮤 기여워요

저도 네이버 아무리 검색해도 이렇게 적나라한 고츄는 처음이라......ㅋㅋㅋ 이게 맞나 해가지고..............ㅌㅋㅋㅋㅋㅋㅋㅋ
2024년 8월 베동 베동 전체글
함께 많이 본 베동글

베이비빌리 앱 다운로드받고 다른 엄빠들이 작성한 다양한 고민&꿀팁글을 구경해보세요


