꺄 저도 3주뒤에가는데 하루하루마다 쑥쑥 크는거보니까 맨날 보고싶어요ㅠㅠ…넘귀여워요🩷🩷
2024년 9월 베동
/ 자유주제
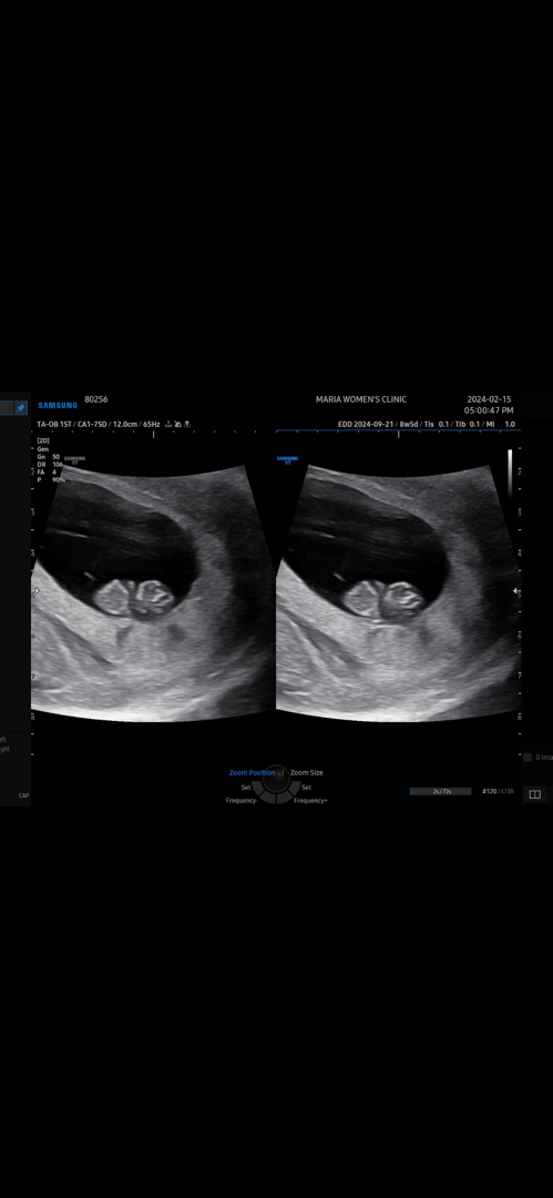
우래기 8주5일차 젤리곰🐻💕

2주만에 갔는데 몸통이랑 머리 분리되고 손,발이 보이더라구요ㅠㅠㅠㅠ감격,, 친정엄마랑 같이 갔는데 아는건지 손을 막 휘젓더라구요🤣 다음은 3주 뒤에 오라는데 얼마나 커있을지 기대되요!!!
댓글
2
젤리곰 너무 귀여워요😍 3주뒤면 11주 5일인데 1차기형아검사하시겠네용! 손발 난리나죵ㅋㅋ
2024년 9월 베동 베동 전체글
함께 많이 본 베동글

베이비빌리 앱 다운로드받고 다른 엄빠들이 작성한 다양한 고민&꿀팁글을 구경해보세요


