아가 넘 귀여워요~~ 저도 3-4주 간격으로 오라고 하셨는데 ㅠㅠㅠ 어찌기다릴지 ㅜㅜㅜㅜ
2024년 9월 베동
/ 자유주제
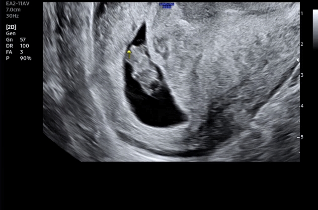
8주 초음파 꼬물이 젤리곰

입덧을 전혀 안하는 저 .. 초음파 보러 가기전까지 시간이 왜이리 더딘지 모르겠어요 🤣 오늘 8주차 젤리곰 보고왔어요 꼬물꼬물 잘 움직이고 있더라구요 !! 이제 아가 보려면 4주 뒤 .......
댓글
1
2024년 9월 베동 베동 전체글
함께 많이 본 베동글

베이비빌리 앱 다운로드받고 다른 엄빠들이 작성한 다양한 고민&꿀팁글을 구경해보세요


