탈퇴한 유저
딸 한표오!

베이비빌리 앱에서
더 많은 베동글을 볼 수 있어요!

베이비빌리 앱에서 더 많은 베동글을 볼 수 있어요!
2024년 8월 베동
/ 자유주제
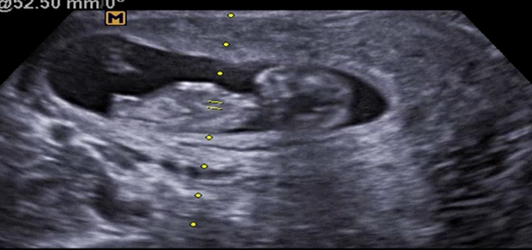
각도법! 딸맞는지봐주세요

사진이 한장밖에 안올라가네요 ㅠㅠ? 딸같은데 다른분들이 보시기에도 그런가요~? 캡쳐를 잘못했으면 말씀해주시면 다른사진으로 올려볼게요!!
댓글
3
탈퇴한 유저
딸 한표오!
딸같아용!
저도 초음파 저런 모습이었는데 딸이었어요!!☺️
함께 많이 본 베동글
🔥 실시간 2024년 8월 베동 인기글

베이비빌리 앱 다운로드받고 다른 엄빠들이 작성한 다양한 고민&꿀팁글을 구경해보세요
주식회사 빌리지베이비
대표이사 이정윤
통신판매업신고번호
|
사업자등록번호 581-88-01277
|
서울특별시 영등포구 의사당대로 83, 오투타워 4층
|
|
Language
Copyright Baby Billy. All rights reserved.
주식회사 빌리지베이비
대표이사 이정윤
통신판매업신고번호
사업자등록번호 581-88-01277
서울특별시 영등포구 의사당대로 83, 오투타워 4층
|
|
Language
Copyright Baby Billy. All rights reserved.