돌기가 솟아서 아들 같이 보여요. 좀 더 기다려보세요. 저도 옆모습이 비슷했는데 니프티로 딸 확정 받았습니다.
2025년 12월 베동
/ 자유주제
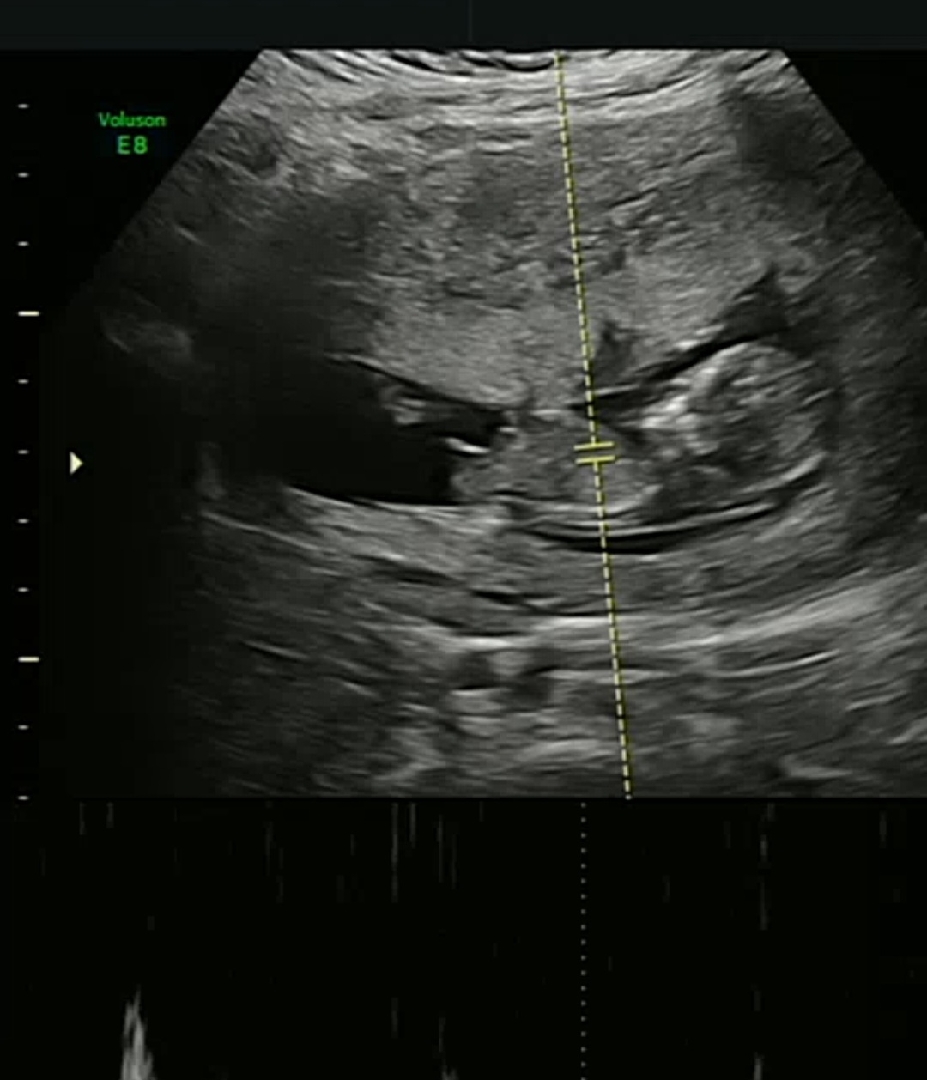
각도법꼭봐주세요ㅠㅠ

11주5일 지피티는 각도상 딸같다고했는데 딸이였으면한데 한번씩봐주세요ㅠ
댓글
3

딸기운받아가요 !
ㅠㅠ 저는 아들같아요.. 제 첫째아기 12주랑 비슷해보여서요~ 물론 아닐수도있지만요
안녕하세요 엄빠님! 베이비빌리입니다. 각도법이 궁금하신 엄빠님께만 알려드려요🙋🏻♀️🙋🏻♂️ 각도법에 관심 있는 엄빠들이 모여있는 게시글에서 의견을 나누어보면 어떨까요?👼🏻 지금 바로 각도법으로 울 아기 성별을 추측해보세요😍 👉🏻 지금 바로 성별 질문 남기기 https://app.babybilly.app/382zwc
2025년 12월 베동 베동 전체글
함께 많이 본 베동글

베이비빌리 앱 다운로드받고 다른 엄빠들이 작성한 다양한 고민&꿀팁글을 구경해보세요


