애매하네여ㅠ
2025년 12월 베동
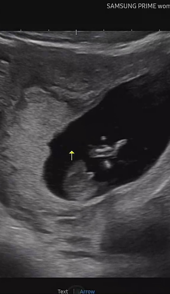
/ 자유주제
가운데 보이는게...맞죠?

너무🌶같아서요..ㅎㅎ
댓글
6

기다려야겠죠ㅎㅎㅎ 감사합니다😍좋은 하루 보내세요❤️❤️
딸일거같어요!

감사합니다>_< 즐거운 주말되세요❤️
아근데 이건 좀 애매한거같아요! 아들은 점세개보인댔는데 두줄이라..ㅎㅎ

감사합니다>_<
함께 많이 본 베동글
🔥 실시간 2025년 12월 베동 인기글

베이비빌리 앱 다운로드받고 다른 엄빠들이 작성한 다양한 고민&꿀팁글을 구경해보세요

베이비빌리 앱에서
더 많은 베동글을 볼 수 있어요!

베이비빌리 앱에서 더 많은 베동글을 볼 수 있어요!
2025년 12월 베동
/ 자유주제
가운데 보이는게...맞죠?

너무🌶같아서요..ㅎㅎ
댓글
6
애매하네여ㅠ
기다려야겠죠ㅎㅎㅎ 감사합니다😍좋은 하루 보내세요❤️❤️
딸일거같어요!
감사합니다>_< 즐거운 주말되세요❤️
아근데 이건 좀 애매한거같아요! 아들은 점세개보인댔는데 두줄이라..ㅎㅎ
감사합니다>_<
함께 많이 본 베동글
🔥 실시간 2025년 12월 베동 인기글

베이비빌리 앱 다운로드받고 다른 엄빠들이 작성한 다양한 고민&꿀팁글을 구경해보세요
주식회사 빌리지베이비
대표이사 이정윤
통신판매업신고번호
|
사업자등록번호 581-88-01277
|
서울특별시 영등포구 의사당대로 83, 오투타워 4층
|
|
Language
Copyright Baby Billy. All rights reserved.
주식회사 빌리지베이비
대표이사 이정윤
통신판매업신고번호
사업자등록번호 581-88-01277
서울특별시 영등포구 의사당대로 83, 오투타워 4층
|
|
Language
Copyright Baby Billy. All rights reserved.