저랑 똑같은 진단이네요 ...서브병원이었는데 저한텐 이틀뒤에 금식하고 오라고 해서 원래가던병원 월요일날 예약이라 그때 가보려구여 울긴했지만 좀더 믿어보려구여 힘내세요 !
2026년 2월 베동
/ 자유주제
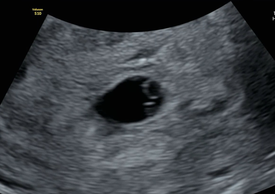
6주1일 아기안보임(난황O) 한번씩만 봐주세요

주말에 갈색피비침이 잇어 오늘 걱정되서 병원에 갔어요 초음파보더니 6주1일이라고 하셨고 저번주 수요일에 난황과 아기집1.2cm 봤는데 오늘은 아기집1.7cm로 커지고 난황만 보이고 아기와 심장깜빡임이 안보인다고 아기가 느린거같대요.. 원래 심소듣기로한 이번주 토요일에 아기와 심소 못들으면 고사난자라는데... 6주1일 2일에 배아 못보면 고사난자인가요..? 아기집도 5일만에 5mm자란거면 잘 자란거같은데... 펑펑울면서 서브병원가니 난황아래 보이는 구조물이 아기일수도 있고 아닐수도있다고 너무 일러서 토요일에 초음파가 중요할거같다하시네요 난황아래 보이는 구조물이 아기일 가능성은 없나요..?
댓글
4
저도 오늘 6주 1일차고 방금 막 산부인과 초음파 보고왔는데 아기집도 지난주에 비해 거의 그대로고 난황만 보여요 ! 근데 의사선생님이 괜찮다고 하셨어요 너무 걱정마세요 아가 건강하게 잘 자라고 있을꺼에요🥰
엥 난황 아래에 아가아닌가요?? 올챙이같은... 토욜에 아가 잘 보일거에용☺️

감사합니다.. 너무 부정적으로 하셔서.. 아직도 눈물나요...
2026년 2월 베동 베동 전체글
함께 많이 본 베동글

베이비빌리 앱 다운로드받고 다른 엄빠들이 작성한 다양한 고민&꿀팁글을 구경해보세요


