저랑아기집 사이즈가 비슷하세요 ㅠㅠㅎㅎ
2026년 2월 베동
/ 자유주제
4주 5일차

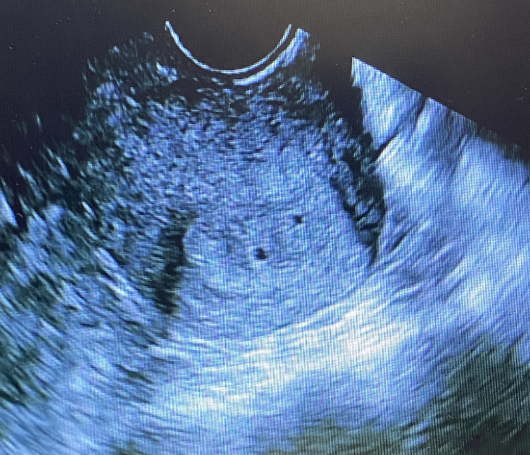
시험관으로 오래 기다리던 임신 드디어 성공했네요. 안정기까지 걱정이지만 잘 먹고 잘 자고 잘 지내보려구요! 애기집 보러 갔는데 하나는 작지만 2개의 애기집이 보이더라구요. 아직은 확실하지는 않다고 확실하게 토요일에 초음파 보자시네요. 5일 기다림이 마치 5개월 같네요~ 2개의 애기집이 잘 커주길 바랄뿐이에요. 너무 작아보이나요? ㅠ ㅠ
댓글
11

ㅠㅠ 좀..작데요 출혈있어서 두번진료받았는데 기다려보는 수 밖에 없어서 주말 내내 눕눕했네요ㅠㅠ 너무 불안하고 시간이 안가요 흑
축하드려요 !!!!!!! 저도 6번채취 4번 이식 중간에 자궁근종수술하고 1년만에 첫 쌍둥이 품었어요 ㅜㅜ 5주6일이에요 오늘 ㅎㅎㅎ

아이구 힘드셨겠어요 ㅠ 저도 5회차에요. 근데 요즘 계속 출혈이 있어 너무 불안하네용 ㅠㅠ
축하드려요! 저도 셤관인데 6주6일이예요~ 아가들 건강하게 잘 자랄거예요

2주뒤 초음파 시간이 너뮤 안가네용 ~~ㅎㅎ
축하드려요! 아기들은 쑥쑥 클꺼에요! 저랑 하루차이일것같아요!! ㅎㅎ 반가워용 ㅎㅎ

축하드려요!!반갑습니다 ㅎㅎ
와 너무축하드려요🥰 건강하게 자라길요!!!

응원해주셔서 감사합니다ㅎㅎ!
2026년 2월 베동 베동 전체글
함께 많이 본 베동글

베이비빌리 앱 다운로드받고 다른 엄빠들이 작성한 다양한 고민&꿀팁글을 구경해보세요


