탈퇴한 유저
임신 알기전에 한건 아기가 다 용서해준대용ㅋㅋㅋㅋ지금부터라도 안하시면됩니당~~~

베이비빌리 앱에서
더 많은 베동글을 볼 수 있어요!

베이비빌리 앱에서 더 많은 베동글을 볼 수 있어요!
2026년 2월 베동
/ 자유주제
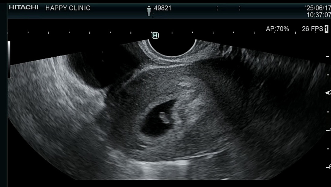
난황이랑 아가 보고왔어요!

6주 3일에 아가랑 난황 보고왔네요! 심장소리도 듣고 너무 신기해요 콩알만한게... 0.62cm에 문제없이 잘 크고 있대요 헤헤 사실 임신확인(4주쯤) 하기 전에 술도 먹고 담배도 피고 해서 걱정이었는데 ㅠㅠ 괜찮다 하셔서 맘이 놓여도 좀 불안하네요 ㅎㅎ
댓글
6
탈퇴한 유저
임신 알기전에 한건 아기가 다 용서해준대용ㅋㅋㅋㅋ지금부터라도 안하시면됩니당~~~
아가가 저보다 마음이 넓네요 ㅋㅋㅋ 임테기 한 이후로 싹 다 안하거든요 괜찮다고 해도 걱정되는건 어쩔 수 없나봐요 ㅠㅋㅋ
탈퇴한 유저
마자요ㅜㅜ 엄마마음이 다 그렇죠!!지금부터 조심하시면돼요! 좋은 생각만 하세요~~~
감사합니다 !!! 😆
저랑똑같아요!저도 어제가6주3일차였어요! 저는 일란성 쌍둥이래요!!ㅋㅋㅋㅋㅋㅋ
어머!!!!! 축하드려요!!!!😙
함께 많이 본 베동글
🔥 실시간 2026년 2월 베동 인기글

베이비빌리 앱 다운로드받고 다른 엄빠들이 작성한 다양한 고민&꿀팁글을 구경해보세요
주식회사 빌리지베이비
대표이사 이정윤
통신판매업신고번호
|
사업자등록번호 581-88-01277
|
서울특별시 영등포구 의사당대로 83, 오투타워 4층
|
|
Language
Copyright Baby Billy. All rights reserved.
주식회사 빌리지베이비
대표이사 이정윤
통신판매업신고번호
사업자등록번호 581-88-01277
서울특별시 영등포구 의사당대로 83, 오투타워 4층
|
|
Language
Copyright Baby Billy. All rights reserved.