더진해야하는데 연한데.....아들은 아주 확실하게보여요
2025년 12월 베동
/ 자유주제
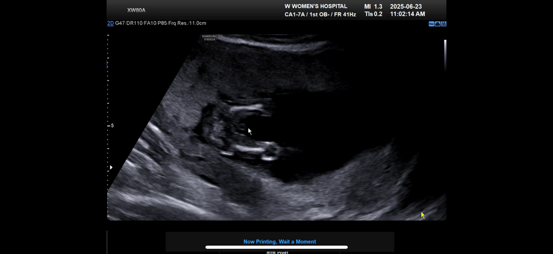
14주 4일 아들같은데 다시 확인하자!

아들일가요..? 반전 있을까요?
댓글
3

그쳐 ㅠㅠ첫째땐 진햇는데 연해서 그런지 아리까리하네여ㅜ
삼각점이 안보여서 애매해용

오모모오 ㅎㅎ반전 있을 수도 있겠네요오 ㅎㅎ답변 너무 감사합니다
2025년 12월 베동 베동 전체글
함께 많이 본 베동글

베이비빌리 앱 다운로드받고 다른 엄빠들이 작성한 다양한 고민&꿀팁글을 구경해보세요


