밋밋해보이긴해요!! 딸인거 같아용
2025년 12월 베동
/ 자유주제
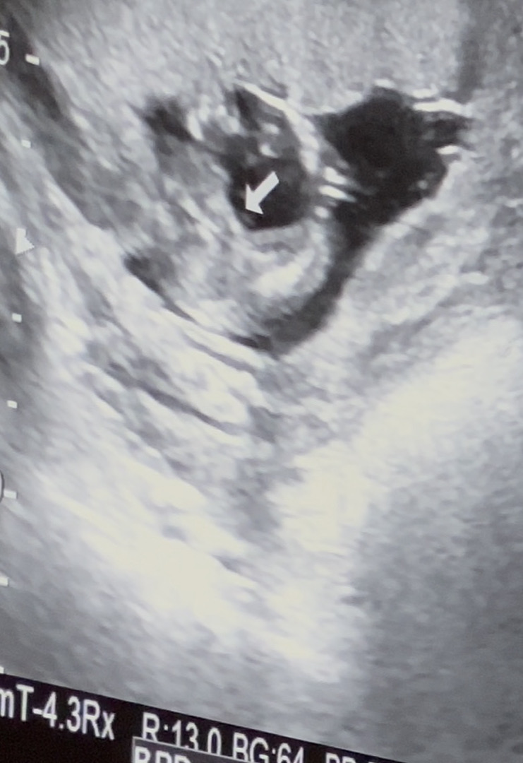
14주5일 이정도 밋밋하면 여자아이 일까요

14주5일차입니다! 선생님이 아직 확정짓긴 이르지만 밋밋한걸로봐서 여자아이 일것같다고 하시는데 제가 보기엔 여자아이 맞을꺼같은데 여러분이 보시기에 어떠신가요?! ㅎ
댓글
3

감사합니다!
함께 많이 본 베동글
🔥 실시간 2025년 12월 베동 인기글

베이비빌리 앱 다운로드받고 다른 엄빠들이 작성한 다양한 고민&꿀팁글을 구경해보세요

베이비빌리 앱에서
더 많은 베동글을 볼 수 있어요!

베이비빌리 앱에서 더 많은 베동글을 볼 수 있어요!
2025년 12월 베동
/ 자유주제
14주5일 이정도 밋밋하면 여자아이 일까요

14주5일차입니다! 선생님이 아직 확정짓긴 이르지만 밋밋한걸로봐서 여자아이 일것같다고 하시는데 제가 보기엔 여자아이 맞을꺼같은데 여러분이 보시기에 어떠신가요?! ㅎ
댓글
3
밋밋해보이긴해요!! 딸인거 같아용
감사합니다!
함께 많이 본 베동글
🔥 실시간 2025년 12월 베동 인기글

베이비빌리 앱 다운로드받고 다른 엄빠들이 작성한 다양한 고민&꿀팁글을 구경해보세요
주식회사 빌리지베이비
대표이사 이정윤
통신판매업신고번호
|
사업자등록번호 581-88-01277
|
서울특별시 영등포구 의사당대로 83, 오투타워 4층
|
|
Language
Copyright Baby Billy. All rights reserved.
주식회사 빌리지베이비
대표이사 이정윤
통신판매업신고번호
사업자등록번호 581-88-01277
서울특별시 영등포구 의사당대로 83, 오투타워 4층
|
|
Language
Copyright Baby Billy. All rights reserved.