몇주차예요?? 12주 맞춰서하는게 가장 정확한데! 그 전이면 좀 두껍게 나올 수도 있어요!
2026년 1월 베동
/ 자유주제
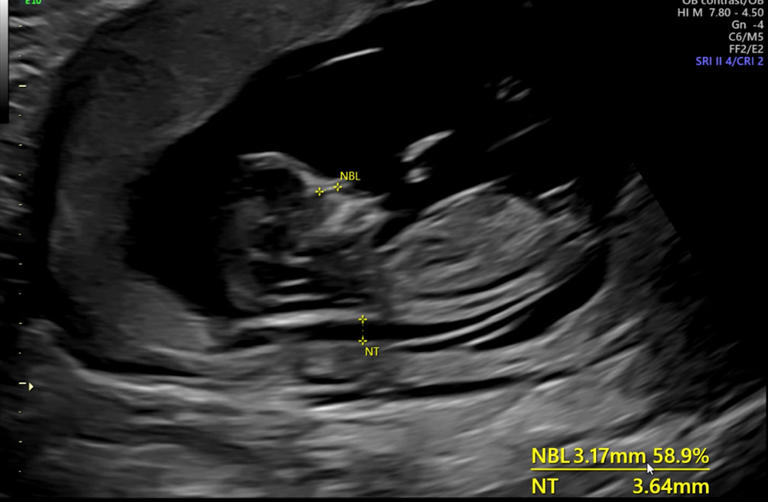
목덜미투명대 ...

기다리고 기다리던 1차 기형아검사 하구왔어요...! 나머지는 다 정상이라는데.. 목덜미 투명대가 애매하게 두껍다네요 ㅠㅠ 4번 해본결과 2번은 3mm이상 2번운 2.9mm정도... 3주후에 양수검사 하자네요 별 이상 없겠죠 ㅠㅠ 양수검사 해보신분들 있으실까요 채혈도 매번 무서워하는데...검사 얘기 듣자마자 걱정+두려움+무서움으로 펑펑 울고왔어요 별 이상 없길 •••!
댓글
3

12주4일에 했어요 ㅜㅜ
첫째때 태아복수빼면서 양수검사도 같이했어요! 그냥 뻐근해요! 생각보다 괜찮았어요!
걱정말아요 첫째 낳아 키우다보니 엄마는 생각보다 강하더라구요 :) 할수있어요 별거아닐거예요~~ 화이팅입니다!💪
2026년 1월 베동 베동 전체글
함께 많이 본 베동글

베이비빌리 앱 다운로드받고 다른 엄빠들이 작성한 다양한 고민&꿀팁글을 구경해보세요


