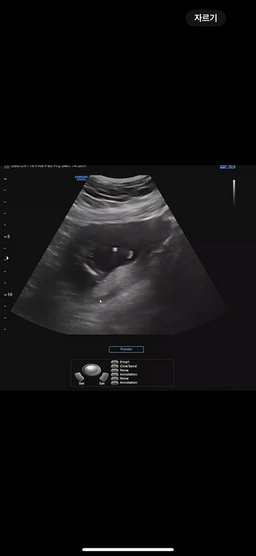
딸인것같아요! 점두개는 딸이고 점세개가 아들이래요
전체 베동
/ 자유주제
15주 초음파

딸일까요? 안들일까요?! 친구는 고추가보인다고 하는데 너무작아보여서ㅎㅎ 딸둘맘이라 아들이였으면 하는데...ㅎㅎ
댓글
1
함께 많이 본 베동글
🔥 실시간 전체 베동 인기글

베이비빌리 앱 다운로드받고 다른 엄빠들이 작성한 다양한 고민&꿀팁글을 구경해보세요

베이비빌리 앱에서
더 많은 베동글을 볼 수 있어요!

베이비빌리 앱에서 더 많은 베동글을 볼 수 있어요!
전체 베동
/ 자유주제
15주 초음파

딸일까요? 안들일까요?! 친구는 고추가보인다고 하는데 너무작아보여서ㅎㅎ 딸둘맘이라 아들이였으면 하는데...ㅎㅎ
댓글
1
딸인것같아요! 점두개는 딸이고 점세개가 아들이래요
함께 많이 본 베동글
🔥 실시간 전체 베동 인기글

베이비빌리 앱 다운로드받고 다른 엄빠들이 작성한 다양한 고민&꿀팁글을 구경해보세요
주식회사 빌리지베이비
대표이사 이정윤
통신판매업신고번호
|
사업자등록번호 581-88-01277
|
서울특별시 영등포구 의사당대로 83, 오투타워 4층
|
|
Language
Copyright Baby Billy. All rights reserved.
주식회사 빌리지베이비
대표이사 이정윤
통신판매업신고번호
사업자등록번호 581-88-01277
서울특별시 영등포구 의사당대로 83, 오투타워 4층
|
|
Language
Copyright Baby Billy. All rights reserved.