저도 자임이라 일주일 밀렸고 태아 크키가 작아요~ 배란과 수정이 늦어지면 그럴수 있으니 넘 걱정하지 마시고 같이 힘내요! ^^ 아가 건강하게 쑥쑥 클거에요~
2026년 2월 베동
/ 자유주제
심장소리

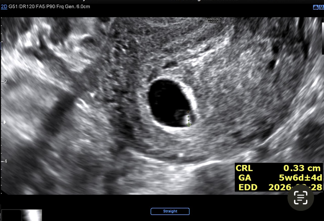
오늘 네이버주수기준 6주6일이라 심장소리 들으러 다녀왔어요 아가 크기가 0.33cm에 심소가 117 이라 주수가 5주6일로 일주일 밀렸는데 병원에서는 정상범위라고 걱정하지 마라고하시지만 계속 걱정이 되는 건 어쩔 수 없네요ㅠ 이 주수에 이정도로 확인하셨다가 2주뒤에 건강히 확인하신 분 댓글 부탁드려요ㅠ 그리고 선생님이 재주신 아기크기보다 제가 초음파영상 이리저리 돌려보며 본 아기가 더 커보이는데 크기 재는 방식에따라 다른거겠죠??
댓글
5
밀린 주수로 말씀해주시는 이유가 어차피 지금 시기 아기는 크기로 주수보는데, 나중에 우리애는 왜 작을까 걱정하시는 분들이 많대요! 그래서 그냥 밀린 주수로 이야기해주신대요! 별 상관없고 걱정안해도 된다고 했어요😊

따뜻한 답변 감사합니다 새싹님 덕분에 걱정 한 시름 놓고 좋은 생각만 할 수 있겠어요 ! :)
자임이면 주수 일주일 밀릴 수 있어요 ㅎㅎ

자임맞아요 :) 자임은 그럴 수 있군요 ㅎㅎ! 감사합니다
2026년 2월 베동 베동 전체글
함께 많이 본 베동글

베이비빌리 앱 다운로드받고 다른 엄빠들이 작성한 다양한 고민&꿀팁글을 구경해보세요


