저도 궁금해서 여쭤봤는데 아니라고 하시더라구요? 실제는 공간이 더있나봐용
2025년 12월 베동
/ 자유주제
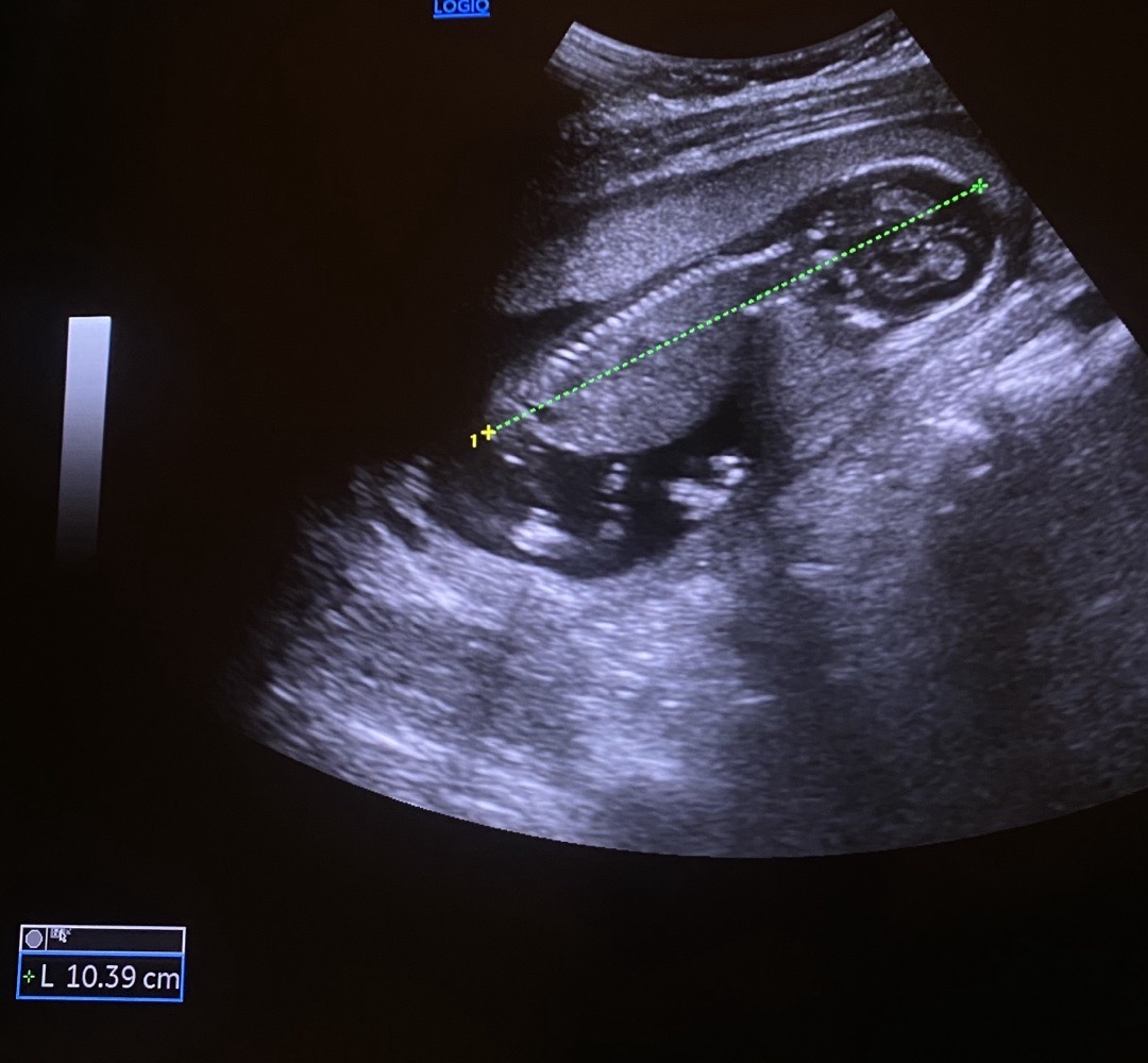
자궁이 작은건지 애기목이 자궁에 껴보여요ㅠ

제가 초음파로 직접본거라 자세히는 모르겟는데 꼭 자궁이작아서 애기목이 자궁에 껴잇는느낌..?이런분들잇나요??
댓글
5
저도 가끔 저렇게 보여요. 의사선생님이 넓은데 놔두고 벽보고 구석에 콕 박혀있는거라고 하셨어요
보는각도마다 다르더라구요 저도 그래서 좁은거 아니냐고 질문드렸더니 바로 다른 각도로 봐주셨어요!ㅎㅎ
저도 16주 초음파 볼때 아기 머리쪽이 좁아 보이더라구요. 점프할때 머리가 자궁에 쿵쿵하고 박는거처럼 보였어요...ㅋㅋㅋ
저도 직접 볼 수 있어서 어제 봤는데 저희 애도 완전 꽉 껴 있더라구요..? 저도 궁금하네요 저희 자궁이 작은건지 원래 다들 그런건지..
2025년 12월 베동 베동 전체글
함께 많이 본 베동글

베이비빌리 앱 다운로드받고 다른 엄빠들이 작성한 다양한 고민&꿀팁글을 구경해보세요


