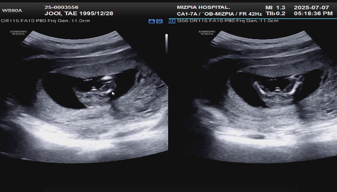
너무 정확하게 쫘-악 벌린 모습이 존재감 뿜뿜입니다 ㅎㅎ
2026년 1월 베동
/ 자유주제
14주 0일 성별반전 없을까요ᆢ?

오늘 너무 머리아프고 해서 촘파보러갔다가 아가가 다리를 좌악 벌리고있어서 얼결에 가랭이 직관했는데 왜 뭐가 있죠ᆢ? 매끈해야되는데ᆢ? ㅠㅠㅠ 반전 없을까요ㅜㅜㅜㅜㅜ
댓글
23

보자마자 웃프더라고요ㅋㅋㅋ큐ㅠㅠ
앜ㅋㅋㅋㅋ너무나도 아들같아요 저희첫째도 그랬었는데 아들 너무 귀엽고 든든합니다😆

자세부터 남달라서 😂😂
저 첫째 14주에 명확히 고추가있고 선생님도 고추가 있네요^^ 하셨는데, 16주에 고추 떼지고 지금 3살 여자아기 키우고있어요ㅎㅎ 다음 촘파까지 기다려보셔요! 아직 정확하디않습니당

헐 희망을 가져보겠습니다 🙏😂 감사해요❤️❤️

저 그래서 아들이라고 혼자 울었었어요 진짜ㅜㅜ 의사선생님도 16주에 깜짝ㅋㅋㅋㅋ 지금 둘째 12주인데, 16주까지는 고추 보여도 신경 안 쓰려구요ㅎㅎ😉

다음 진료가 15주 4일차인데 그때도 고추있으면 포기해야되겠죠ᆢ? ㅠㅠ

그때는 좀 정확할 것 같아요..ㅎㅎ^^

일단 존버해봅니다ㅠ

결과나오면 알려주세용🫶🏻

넹넹♡♡

아들이래요 🌶🌶

앗! 사랑스러운 아들맘 되신거 축하드려요💕💕
좌악 ㅋㅋㅋㅋ 넘 웃겨요 ㅋㅋ 아들좋은데용 !!ㅋㅋ

ㅋㅋㅋㅋㅋ워터파크 목욕탕 기타등등 다 남편한테 넘겨야겠어요ㅎ
저도 첫째 초음파 봤을 때. 너무 선명하게 보여서 의사 선생님께서 말씀해 주시기 전에 제가 먼저 아들이네요 이랬습니다.😂

ㅋㅋㅋㅋ너무 선명해버렸어요 진짜ㅠㅠ 😂
2026년 1월 베동 베동 전체글
함께 많이 본 베동글

베이비빌리 앱 다운로드받고 다른 엄빠들이 작성한 다양한 고민&꿀팁글을 구경해보세요


