너무...아들같은데요😂
자유 베동
/ 자유주제
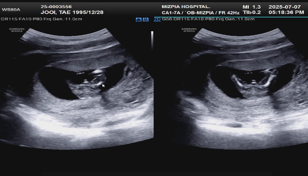
14주 0일 성별반전 없을까요ᆢ?

오늘 너무 머리아프고 해서 촘파보러갔다가 아가가 다리를 좌악 벌리고있어서 얼결에 가랭이 직관했는데 왜 뭐가 있죠ᆢ? 매끈해야되는데ᆢ? ㅠㅠㅠ 반전 없을까요ㅜㅜㅜㅜㅜ
댓글
3

ㅠㅠㅠㅠㅠ너무 존재감이 확실한가요ㅠ

아들 둘맘으로써.... 초음파에 고츄모양이확실해요..ㅋㅋ
ㅋㅋㅋㅋㅋㅋㅋ저와 같으시네요.. 저도 일말의 희망을 가지고 담주 드뎌 16주인데 검사겸 다시 촘파보러가요 ㅠㅠ... 혹시 모르잖아요? 그때 봐주신 쌤이 10퍼의 확률로 바뀔수있다 하셨어요

10퍼가 저한테 걸리면 100퍼인거잖아요ᆢ? 반전기원해봅니다 😭🙏
자유 베동 베동 전체글
함께 많이 본 베동글

베이비빌리 앱 다운로드받고 다른 엄빠들이 작성한 다양한 고민&꿀팁글을 구경해보세요


