축하드려요 ㅎㅎ 너무 귀여워요ㅠㅠㅠ🫠💓
2026년 2월 베동
/ 자유주제
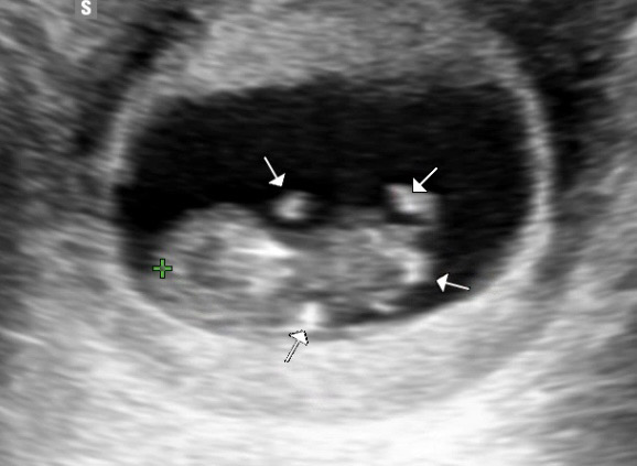
젤리곰을 만나다

젤리곰 보고왔어요❣️ 처음 확인서받은 예정일에비해 아기가 작다고하셔서 예정일이 1월말에서 2월초로 미뤄졌지만 건강하기만 하면 그만이라 쑥쑥 잘 커주길 바라고있어요!!!
댓글
2

감사해용🌷
축하드려요!!! 아가 너무너무 귀여워요ㅠㅠㅠㅋㅋㅋㅋㅋ💕

감사합니다❤️
2026년 2월 베동 베동 전체글
함께 많이 본 베동글

베이비빌리 앱 다운로드받고 다른 엄빠들이 작성한 다양한 고민&꿀팁글을 구경해보세요


