전 6주 후반에 심장소리듣고 왔어요~! 쿵쾅쿵쾅 신기하더라구요 ㅋㅋ
2026년 3월 베동
/ 자유주제
소중한 다이아반지 보구 와쏘요💖

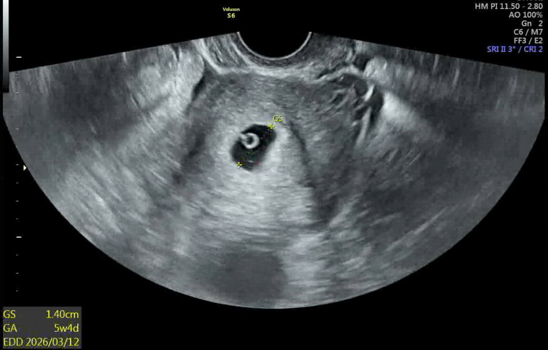
고사난자로 올해 4월초에 소파술 하고 다시 생긴 아가라 이번엔 정말 결과가 좋았으면 했는데 말로만 듣던 다이아 반지를 보고 왔어요 💖 다들 다이아 반지 보규 심장소리는 언제 들으러 가셨나용!? 제 다이아 반지 초음파 구경하구 가주세욤 ㅎㅇㅎ
댓글
10

두근두근 너무 조으셨겟다 ㅠㅠㅠㅠ 저는 못참고 금요일에 한번 가보려 하는데 같이 기도해주세욤💖
우와 저도 소파술 하고 보고왓어용 ~~ 담주에 심소 들어요 ^^

저랑 비슷한 시기네용 축하드려용 이번엔 건강한 아기 만나요 우리💖💖
이렇게 반짝반짝한 알 큰 반지는 남편에게도 못 받아본 반지자나요!!!✨ 우리 아가가 엄마한테 주는 첫번째 선물🤍 축하드려요♥️

마자효💖 남편도 못주는 최고의 선물ㅋㅋㅋㅋㅋ 감사합니둉😆
우와 너무 예뻐요 저도 보고싶어서 기다리는중인데 부럽네요ㅠㅠ 보통 다이아반지 보고 일주일정도 있다가 심소 듣는다고 하돈데요! ㅎㅎㅎ

두근거려요..💖💖 조금만 기다리ㅛㅣ면 보실거에용!!!! 천천히 보는 경우도 많으니 오늘도 좋은 꿈 편안한 밤 되세용 🙏🏻
오오 다이아반지~~ 저는 배초음파로 보여주셔서 하얀 점만 봤어요ㅋㅋ큐ㅠ

보셨으면 좋앗을텐데 ㅠㅠㅠ 그래두 배초음파가 조금 안전한것두 잇겟죵!?💖💖
2026년 3월 베동 베동 전체글
함께 많이 본 베동글

베이비빌리 앱 다운로드받고 다른 엄빠들이 작성한 다양한 고민&꿀팁글을 구경해보세요


